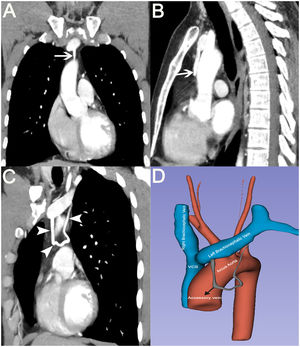
This report describes a 31-year-old asymptomatic man under surveillance for multiple pulmonary nodules. Contrast-enhanced computed tomography revealed an incidental 3.8-mm anomalous venous branch arising from the left brachiocephalic vein, coursing through the anterior mediastinum, forming a vascular ring, and subsequently draining back into the same vein (Fig. 1A–D). The exact cause of LBCV variations remains unknown. Chen et al. proposed the existence of 2 transverse channels in the early stages of embryonic development, initially positioned one above and the other below. These channels are interconnected by an intersubcardinal anastomosis, essentially forming a vascular network. Throughout time, the lower channel and vascular network regress, while the upper channel transforms into the left brachiocephalic vein [1]. In our case, we identified a rare vascular variant, a remnant of the vascular network from the embryonic development process. Although vascular anatomical variations are typically asymptomatic, they carry a higher risk of thrombosis due to gravitational pooling, making follow-up essential, especially in patients prone to thrombosis. Additionally, as mentioned in the case reports by Steckiewicz et al. the presence of a double LBCV may lead to complications during thoracic procedures, pacemaker implantation, and central venous catheterizations. Therefore, imaging is recommended before performing such procedures [1,2].
(A, B) Coronal and sagittal contrast-enhanced thoracic CT images showing an accessory vein originating from the left brachiocephalic vein and draining back into the same vein (arrows). (C) On the coronal maximum intensity projection (MIP) image, the entire course of the accessory vein is visualized (arrowheads). (D) Three-dimensional (3D) reconstruction image showing the normal vascular structures along with the accessory vein.
A.B., F.C.Y., G.P. contributed to drafting the text and preparing the figures.
Use of artificial intelligenceThe authors certify that no artificial intelligence tools or technologies were used in the preparation of this manuscript.
FundingNone declared.
Conflicts of interestNone declared.







