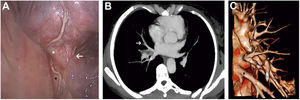
A 56-year-old woman with a history of lung adenocarcinoma in the right lower lobe stage cT3N2 treated with neoadyuvant radio and chemotherapy was referred for surgery. Due to N1 involvement, a VATS right lower bilobectomy was performed. Having sectioned inferior pulmonary vein (IPV) (Fig. 1, black asterisk), we observed the sixth segmental vein (V6) (Fig. 1, white asterisk) draining into the middle lobe vein (MLV) (Fig. 1, white arrow). Preoperative CT-scan and tridimensional reconstruction confirmed our findings (Fig. 1B, C).
Commonly, V6 is the uppermost and smaller segmental tributary of the IPV.1 Nagashima et al. reported an uncommon drainage pattern in which V6 drained into the superior pulmonary vein.2 We describe a different variation: V6 draining into the MLV. Knowing this rare anatomical variant can help thoracic surgeons prevent intraoperative injuries during bilobectomies, right lower lobectomies and S6 segmentectomies. Careful examination of the vessels at preoperative CT-scan should be mandatory before starting any procedure.
FundingNone.
Conflict of interestNone declared.








