A 67-year-old male presented with chest pain and cough. Thoracic computed tomography (CT) revealed two hydatid cysts in the left lung, one of which contained diffuse calcification (Fig. 1). There is a surgical indication for the other large hydatid cyst which is not calcified. The patient underwent a thoracotomy and the calcified cyst was excised at this stage both to confirm the diagnosis and for differential diagnosis. The other hydatid cyst underwent cystotomy and capitonage. Calcified hydatid cyst had no viable vesicles.
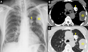
Posteroanterior (PA) chest radiograph (A) shows a perihilar calcified lesion (arrow) and a peripheral radiopaque lesion (star) with smooth margin in the left lung. Thoracic computed tomography mediastinal (B) and parenchymal window axial sections (C) show a 30mm×24mm lesion with diffuse calcification in the anterior segment of the upper lobe of the left lung (arrow) and a 60mm×40mm cystic lesion in the upper lobe apicoposterior segment (asterisk) in the pleural neighborhood.
Calcification of pulmonary hydatid cysts, unlike hepatic hydatid cysts,is extremely rare and has been reported in only 0.7% of cases.1 Typically, calcifications in lung hydatid cysts are smaller and appear in the cyst wall.2 Although tissue necrosis releases enough phosphorus to allow calcium precipitation, the serum calcium level is low in the lung parenchyma due to the low local carbon dioxide content. Diffuse calcification in a hydatid cyst usually indicates that the cyst is no longer viable. However, partial calcifications of the cyst wall may be present with a live parasite.1 It is important to consider the differential diagnosis of tuberculosis, hamartoma, and other diseases that can cause dense calcification. CT is the image technique that best shows cyst infection, cyst wall calcification and specific details of the cyst.
FundingThe authors received no financial support for the research and/or authorship of this article.
Conflict of interestThe authors declare that they have no conflict of interest to the publication of this article.








