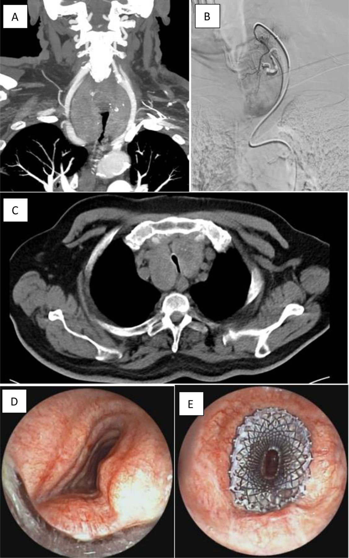
Endothoracic goiter may cause compression of the trachea [1]. Surgery is the first-line treatment [2], but in cases with extensive mediastinal involvement, sternotomy may be required, increasing morbidity and mortality. In elderly patients or those with significant comorbidities selective embolization of thyroid arteries (SETA) is a minimally invasive alternative [3]. We present the case of a patient with GOLD 4B COPD on long-term oxygen therapy and non-invasive ventilation (NIV), diagnosed with endothoracic goiter without suspicion of malignancy. The goiter caused a 80% proximal tracheal stenosis (Fig. 1), resulting in mMRC grade 4 dyspnea and a 6-minute walk distance of 72m on oxygen. Due to high surgical risk, SETA was performed. Post-procedure, the patient developed destructive thyroiditis with hyperthyroidism and refractory respiratory acidosis, preventing NIV weaning. Under general anesthesia, rigid bronchoscopy revealed a 3cm long, laterolateral proximal tracheal stenosis with a residual lumen of ∼6mm. A self-expanding metallic stent [4,5] (LEUFENT Aerstent TBS 20×40) was placed, with the proximal end 3cm below the glottis. Endoscopic outcome was satisfactory, allowing NIV weaning and subsequent discharge. Stent removal is planned following resolution of thyroiditis. This approach can effectively relieve tracheal obstruction and improve clinical outcomes, highlighting the importance of individualized, multidisciplinary management strategies.
RT and PR performed the rigid bronchoscopy and captured the images. TM managed the patient during the hospitalization. TM wrote the main text. RT and PR reviewed the text. TM proposed the informed consent to the patient.
Declaration of generative AI and AI-assisted technologies in the writing processDuring the preparation of this work the authors used COPILOT AI MICROSOFT Service in order to improve language and readability. After using this tool/service, the authors reviewed and edited the content as needed and take full responsibility for the content of the publication.
FundingThis research did not receive any specific grant from funding agencies in the public, commercial, or not-for-profit sectors.
Conflicts of interestThe authors declare not to have any conflicts of interest that may be considered to influence directly or indirectly the content of the manuscript.








