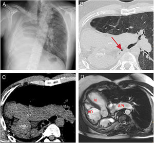
Varón de 37 años diagnosticado al nacimiento de agenesia pulmonar derecha con dextrocardia, intervenido de ductus arteriovenoso persistente a los 8 años, que presentó infecciones respiratorias recurrentes con hiperreactividad bronquial. En las pruebas de imagen (fig. 1) se apreció la agenesia pulmonar derecha junto con hiperinsuflación compensatoria pulmonar izquierda y herniación transmediastínica anterior, así como dextrocardia.
A) Radiografía de tórax, proyección posteroanterior, en la que se objetiva desplazamiento mediastínico y del pulmón izquierdo hacia el hemitórax derecho causado por ausencia del pulmón derecho (agenesia pulmonar). B) Corte axial tomográfico con ventana de parénquima pulmonar. La flecha indica el bronquio principal derecho rudimentario que acaba en fondo de saco. C) Corte axial tomográfico sin contraste intravenoso en el que se aprecia el desplazamiento de estructuras vasculares hacia el hemitórax derecho, así como ausencia de arteria pulmonar derecha. API: arteria pulmonar izquierda. D) Corte axial oblicuo de cine-RM b-FFE. Se observa dextrocardia, dextro-ápex y la ausencia completa de parénquima pulmonar derecho. VD: ventrículo; VI: ventrículo izquierdo.
La agenesia pulmonar es una rara malformación congénita. Las anomalías congénitas pueden presentarse en 3 tipos:
- –Tipo 1 o agenesia: ausencia completa de parénquima pulmonar, su vascularización y el sistema bronquial. 
- –Tipo 2 o aplasia: bronquios rudimentarios con ausencia completa de parénquima pulmonar. 
- –Tipo 3 o hipoplasia: presencia de parte de parénquima pulmonar, sistema bronquial y vascularización de soporte1. 
Su etiología es desconocida y parece ser el resultado de múltiples factores que pueden ser genéticos, deficiencia de vitamina A o ácido fólico e infecciones virales entre otros. La agenesia pulmonar izquierda es la más frecuente (70% de los casos), asociándose a un pronóstico más favorable ya que la agenesia derecha se asocia con mayor frecuencia a anomalías, generalmente cardiovasculares y gastrointestinales2.
Para el diagnóstico son esenciales la radiografía y la TC de tórax, siendo esta última clave para su confirmación.
 
										
				



 
 
		




