Mujer joven, sin antecedentes de interés, consultó en urgencias por disnea, tos seca y dolor pleurítico en región costal izquierda de cinco días de evolución. Además, refirió omalgia derecha de un mes de evolución y leve pérdida de peso.
La exploración física reveló: taquipnea, tiraje y abolición del murmullo vesicular en hemitórax izquierdo. La lactato deshidrogenasa (LDH) y la fosfatasa alcalina (FA) estaban elevadas.
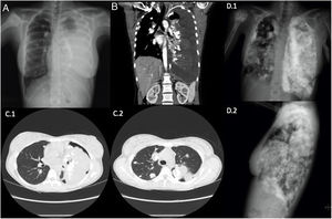
La radiografía y la tomografía computarizada de tórax mostraron múltiples masas pulmonares y pleurales bilaterales con calcio en su interior, derrame pleural izquierdo y una lesión blástica en cabeza humeral derecha (fig. 1). La anatomía patológica de la punción de una masa pulmonar confirmó el diagnóstico de metástasis de osteosarcoma.
Radiografía simple de tórax PA A) y tomografía computarizada toraco-abdominal corte coronal B) al diagnóstico, donde se objetiva derrame pleural izquierdo masivo, lesión blástica en cabeza humeral derecha, múltiples imágenes de densidad calcio en parénquima pulmonar bilateral y pleura. TC de tórax corte axial C1 y C2) tras drenaje de derrame pleural, donde destacan múltiples metástasis bilaterales en parénquima pulmonar y en pleura, así como neumotórax izquierdo. Radiografía simple de tórax PA y lateral D.1 y D.2) a los 10 meses desde el diagnóstico, donde se demuestra un aumento en número y tamaño de los nódulos y masas pulmonares y pleurales bilaterales, derrame pleural izquierdo y aumento de la lesión primaria en cabeza humeral derecho.
Recibió doxorrubicina y cisplatino obteniéndose una respuesta parcial. Trece meses después se objetivó progresión y la paciente presentó infección respiratoria de vías bajas e insuficiencia respiratoria parcial, ocasionando su fallecimiento.
Los tumores óseos primarios representan menos del 0,2% de las neoplasias malignas, siendo el osteosarcoma el más frecuente1. Las metástasis pulmonares son las más habituales y, junto con elevación de la LDH y la FA, son factores de mal pronóstico. La agresividad de la afectación pulmonar de este tumor queda ilustrada en esta imagen clínica2.









