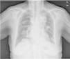
Presentamos el caso de una mujer de 70años, con antecedentes de diabetes mellitus tipo2, dislipidemia y síndrome depresivo. Alérgica al ibuprofeno. Sin hábitos tóxicos ni exposiciones ocupacionales. Trabajaba como ama de casa. Sin antecedentes familiares de interés. Colecistectomizada hace 30años. Tratamiento habitual con metformina, atorvastatina y escitalopram. Acude al servicio de urgencias por cuadro de 2meses de evolución consistente en tos seca, pérdida de peso de 10kg, astenia y anorexia, dolor en la región lumbar derecha y hematuria intermitente en el último mes. Examen físico dentro de la normalidad. Las pruebas de laboratorio revelaron una bioquímica con aumento de fosfatasa alcalina (225UI/l) y gammaglutamiltransferasa (GGT) de 119UI/l. En el hemograma destacaba una hemoglobina de 8g/dl. La radiografía de tórax mostró una masa en el lóbulo superior izquierdo y múltiples nódulos bilaterales. Se realizó tomografía axial computarizada de tórax, abdomen y pelvis, evidenciándose en tórax una opacidad nodular en lóbulo superior izquierdo de unos 45×35mm, múltiples nódulos subpleurales bilaterales, adenopatías torácicas en distintas localizaciones y pequeño derrame pleural bibasal. A nivel abdominopélvico se objetivó una gran masa renal izquierda, lesión lítica en hemicuerpo vertebral derecho y nódulo de 15mm en glándula suprarrenal izquierda. Se realizó fibrobroncoscopia, evidenciándose signos de infiltración neoplásica submucosa en bronquio para lóbulo superior izquierdo. La biopsia bronquial y el broncoaspirado citológico fueron negativos para células neoplásicas. Posteriormente se llevó a cabo punción-aspiración con aguja fina de la masa de lóbulo superior izquierdo, llegándose al diagnóstico anatomopatológico de metástasis pulmonar de sarcoma renal de células claras de tipo epitelioide.
El sarcoma renal de células claras es una neoplasia poco frecuente y de histogénesis desconocida. Se suele presentar en la edad pediátrica, entre los 1 y 3años de edad, son muy raros antes de los 6meses y no se describen casos en adultos1. Las manifestaciones clínicas del sarcoma renal de células claras son fundamentalmente de 3tipos: urológicas, generales y producidas por síndromes paraneoplásicos2. Entre las manifestaciones generales destacan astenia, anorexia, pérdida de peso (síntomas presentes en nuestro caso), febrícula, síntomas gastrointestinales como náuseas, vómitos, estreñimiento y dolor abdominal, siendo estas manifestaciones inespecíficas y comunes a otras neoplasias renales3. Entre los síntomas paraneoplásicos predominan la anemia y el síndrome de Stauffer, definido este último como la alteración en las pruebas hepáticas de causa no metastásica, en especial las relacionadas con la presencia de colestasis (GGT y FA). Ambos hallazgos, anemia y síndrome de Stauffer, fueron hallados en nuestra paciente. El sarcoma de células renales se disemina por extensión directa linfática y a distancia por vía hematógena o linfohematógena4. Las localizaciones y la frecuencia de invasión son pulmón, ganglios linfáticos, hueso, hígado, riñón contralateral, suprarrenales y cerebro. Las metástasis pulmonares aparecen generalmente como nódulos múltiples, aunque también se han observado nódulos solitarios. Las metástasis óseas son líticas, rara vez blásticas. Sus localizaciones preferentes por orden de frecuencia son costales, vertebrales, hueso iliaco, fémur, húmero y cráneo5 (fig. 1).








