Alrededor del 40% de los pacientes con carcinoma broncogénico (CB) se presentan con metástasis en el momento del diagnóstico1. Aunque pueden asentar prácticamente en cualquier órgano, las más frecuentes tienen lugar en los huesos, el hígado, las glándulas suprarrenales, el cerebro y la piel1. Presentamos el caso de una paciente con CB no microcítico con enfermedad metastásica en ovario.
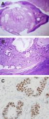
Mujer de 54 años, sin antecedentes de interés ni hábitos tóxicos. Debido a episodios de metrorragias que condicionaban anemia, la paciente consulta en el servicio de ginecología. Se realiza una ecografía pélvica y transvaginal que muestra un útero aumentado de tamaño a expensas de múltiples imágenes nodulares intramiometriales, subserosas y pediculadas, sobre todo una hacia la cavidad abdominal que llega a nivel suprapancreático de 12cm. Ante la sospecha de enfermedad neoplásica se completa el estudio radiológico con una tomografía computarizada de tórax/abdomen/pelvis en la que se objetiva un derrame pleural derecho masivo con engrosamiento de la pleura y áreas focales de captación de contraste, adenopatías prevasculares, retrocava u paraaórticas y múltiples lesiones blásticas en la columna dorsolumbar, el sacro y ambos ilíacos. La combinación de características clinicorradiológicas hizo sospechar, como primer diagnóstico, una tumoración uterina con extensa enfermedad metastásica. Se realizó una biopsia pleural ciega y el resultado anatomopatológico fue de infiltración por neoplasia epitelial, sugestiva de adenocarcinoma. La paciente fue sometida a una histerectomía total y doble anexectomía, tras un legrado uterino que descartó malignidad. Las tumoraciones uterinas correpondían a leiomiomas sin rasgos histológicos de malignidad. En el ovario derecho se reconocía una lesión nodular que con técnicas de inmunohistoquímica mostró un perfil TTF-1 positivo, hallazgos concordantes con metástasis de adenocarcinoma de origen pulmonar (fig. 1). Se realizaron las mismas técnicas en las muestras de la biopsia pleural y las células tumorales mostraron expresión TTF-1 positiva. Se completó el estudio con una fibrobroncoscopia objetivando en la pirámide basal una mucosa edematosa y sin pliegues que provocaba una estenosis de la entrada de los bronquios basales. El resultado de las biopsias bronquiales fue de adenocarcinoma de origen pulmonar.
A. Imagen macromicroscópica del nódulo del ovario. B. Imagen microscópica del tumor ovárico con clara diferenciación tubular-glandular y bien delimitado con respecto al parénquima del ovario adyacente. C. Tinción inmunohistoquímica nuclear positiva para TTF-1, asociada a un perfil de queratinas 7 positiva, 20 negativa y cromogranina negativa.
El CB es una enfermedad en crecimiento y supone la primera causa de muerte de origen tumoral en los países desarrollados. El adenocarcinoma es el tipo histológico más frecuente en la mujer, y en los últimos años se ha observado una clara tendencia al aumento. Su principal factor pronóstico es poder recibir un tratamiento quirúrgico; sin embargo, el diagnóstico se suele establecer en fases avanzadas de la enfermedad1. Son muy pocos los casos descritos en la literatura médica de CB con enfermedad metastásica en el ovario y puede presentarse en el CB microcítico y no microcítico2–5. En el caso que describimos, la presentación clínica hizo plantearse como primera posibilidad diagnóstica una enfermedad neoplásica ginecológica con metástasis pleurales. El derrame pleural maligno es una complicación frecuente de las enfermedades neoplásicas avanzadas. Las causas más comunes son el CB y el carcinoma de mama, aunque cualquier tumor lo puede ocasionar, incluyendo el carcinoma de ovario y útero6.
La diferenciación entre adenocarcinoma metastático o tumor primario de ovario es crucial, ya que el tratamiento y el pronóstico de ambos tumores son muy diferentes. Por ello, los avances en técnicas de inmunohistoquímica se han convertido en una herramienta imprescindible en la práctica clínica.
Debido al incremento del CB en la mujer, el ovario no debe ser excluido como una localización de metástasis de origen pulmonar.
FinanciaciónEstudio realizado gracias al programa de intensificación de la actividad investigadora en el SNS (FIS-ISCIII).








