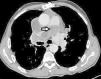
73-year-old patient with a history of pericardial hydatid cyst surgically resected 11 years ago who has chronic dyspnea since 6 months. On physical examination, the patient presented tachypnea and dyspnea. The chest x-ray showed a right hilar opacity. Thoracic CT scan (Fig. 1) showed a cystic filling defect of the main pulmonary artery and of right pulmonary artery. The echocardiography showed enlarged pulmonary arteries, enlarged chambers of the right heart and elevated pulmonary systolic pressure estimated at 80mm hg. Serologic tests of hydatid cyst were positive. The diagnosis of chronic pulmonary artery hydatid cyst was decided by the patient's history of pericardial hydatid cyst, thoracic CT scan, enlarged pulmonary arteries with elevated pulmonary systolic pressure and positive serology tests. A surgery was indicated but was refused by the patient. Therefore, a medical treatment was initiated (albendazole).
Pulmonary or systemic embolism caused by hydatid cysts or vesicles rupturing into the venous or arterial system is extremely rare.1 The cases reported in the literature of migration of hydatid cysts in the pulmonary arteries have acute pulmonary embolism presentation with sometimes anaphylactic shock. Chronic pulmonary arterial hypertension caused by pulmonary embolism of hydatid cyst is exceptional, as in our case.2








