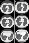
Our patient was a 67-year-old man who had quit smoking 25 years previously (cumulative dose: 20 pack-years), with no other significant history. He was admitted for mild COVID-19 pneumonia (oxygen therapy 2–3l/min) and treated with remdesivir and dexamethasone 8mg/day for 10 days, and discharged with a protocolized tapering prednisone regimen. A high-resolution chest CT scan at 2 months (Fig. 1A) showed multiple solid bilateral pulmonary nodules measuring less than 1cm and some atelectasis and fibrosis.
Multiple nodules observed on high-resolution computed tomography in patients with COVID-19 has been described previously.1 However, the delayed appearance of multiple solid nodules of mild COVID-19 pneumonias without other inflammatory findings is atypical, and requires a differential diagnosis with neoproliferative and infectious processes. However, due to the patient's satisfactory clinical recovery and lack of reason for concern, we decided to prescribe prednisone 5mg/day and repeat a high-resolution chest CT scan at 3 months (Fig. 1B), which showed progressive resolution of nodules. Although no pathology study was available, given the radiological progress and the clinical context, the diagnosis was organizing foci, which is an uncommon radiological presentation of organizing pneumonia.2
FundingResearch grants from ISCIII, PI21/01287 (co-funded by the European Regional Development Fund, EDF, a way to build Europe).








