Presentamos el caso de un varón de 59años que acudió a urgencias por fiebre de 38,8°C, disnea y tos seca de 48h de evolución. El paciente había sido diagnosticado de neumonía organizada criptogénica y estaba en tratamiento con prednisona 70mg/día y azatioprina 25mg/día.
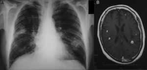
En la exploración física presentaba fiebre de 37,9°C, presión arterial de 135/78mmHg, frecuencia respiratoria de 28rpm y cardiaca de 103lpm, y en la auscultación pulmonar, crepitantes finos bilaterales. El hemograma mostraba 16.600 leucocitos y 303.000 plaquetas, y la bioquímica era normal (incluyendo pruebas de función hepática y procalcitonina), salvo una proteína C reactiva de 5,7mg/dl. La gasometría arterial basal mostraba: pO2 63mmHg, pCO2 36mmHg, pH 7,43 y saturación de oxihemoglobina 91%. En la radiografía simple de tórax posteroanterior presentaba un infiltrado alveolar cavitado en el lóbulo superior derecho y otro en el lóbulo inferior izquierdo sin cavitación (fig. 1A).
Se extrajeron 2 hemocultivos (medio aerobio y anaerobio) y se inició tratamiento empírico con piperacilina-tazobactam. La antigenuria de neumococo y Legionella fueron negativas. Tras 4días de tratamiento antibiótico sin mejoría se realizó una TC toracoabdominal en la que se confirmaban los hallazgos radiológicos previos sin otras alteraciones. En ambos hemocultivos se aisló Rhodococcus equi, cambiándose el tratamiento, según antibiograma, a imipenem, rifampicina y gentamicina. Tras 10días de ingreso el paciente comenzó con cefalea e inestabilidad, realizándose RMN cerebral (fig. 1B), en la que se observaban 8 lesiones nodulares subcentimétricas corticosubcorticales compatibles con abscesos cerebrales.
Se mantuvo el tratamiento intravenoso 2meses y se continuó con azitromicina y trimetoprim-sulfametoxazol oral 4meses más. Tras 2semanas de tratamiento la clínica respiratoria había desaparecido y la radiografía de tórax era normal. Al mes los hemocultivos fueron negativos, con desaparición de la clínica neurológica. La RMN cerebral de control a los 3meses fue normal.
El género Rhodococcus incluye más de 15 especies ambientales ubicuas. Son cocobacilos grampositivos aerobios estrictos e intracelulares que infectan a macrófagos y polimorfonucleares. Algunas especies poco comunes, como R.luteus, R.erythropolis, R.ruber y R.rhodochrous, son causantes de infecciones cutáneas y corneales principalmente. R.equi es la más frecuente y con mayor poder patógeno en humanos, siendo el principal mecanismo de transmisión la vía inhalatoria por contacto con animales. La inmunodepresión celular es el factor de riesgo principal para la infección, especialmente en pacientes con el virus de la inmunodeficiencia adquirida (VIH), aunque del 10 al 15% de las infecciones ocurren en inmunocompetentes1,2. La forma de presentación más frecuente en inmunodeprimidos es la neumonía cavitada en los lóbulos superiores3 (84%), y en inmunocompetentes, las infecciones extrapulmonares localizadas (42%)3,4, siendo las más frecuentes las que afectan al SNC (abscesos, meningitis…) y a la piel (abscesos).
La clínica respiratoria es insidiosa y se manifiesta con fiebre alta, tos, disnea, dolor torácico y pérdida de peso2. El diagnóstico se realiza mediante su identificación en cultivo de muestras de tejido afectado4. Los hemocultivos son positivos en el 50% de los inmunodeprimidos, como es el caso de nuestro paciente, y en el 10% de los inmunocompetentes5. No existe un tratamiento estándar. Son resistentes a betalactámicos, excepto imipenem, y sensibles a macrólidos, rifampicina, aminoglucósidos y vancomicina. La sensibilidad a fluoroquinolonas, clindamicina, trimetoprim-sulfametoxazol y tetraciclinas es variable1,5. Se recomienda un tratamiento con 2 o 3 fármacos, de los cuales al menos uno debe tener buena actividad intracelular, como rifampicina o azitromicina4,5.
En inmunocompetentes con infección localizada hay descritos con éxito tratamientos de 2-8 semanas con 2 antibióticos2. El tratamiento puede prolongarse hasta 6meses1 si la inmunodepresión va a continuar y en lesiones pulmonares cavitadas o afectación del SNC, como ocurrió en nuestro caso.
La mortalidad en inmunocompetentes es del 11%; en pacientes con VIH, del 50-55%, y en inmunodeprimidos no VIH, del 20-25%2–4.








