La demanda de resección de nódulos pulmonares de pequeño tamaño mediante cirugía torácica videoasistida (VATS) está aumentando por la indicación cada vez más habitual de metastasectomías pulmonares en determinados pacientes y por la detección creciente de nódulos pulmonares sospechosos en estudios de tomografía computarizada (TC) de tórax de baja dosis de radiación en el marco de programas de cribado de cáncer de pulmón1-3. No obstante, la resección toracoscópica de dichos nódulos pulmonares puede resultar difícil de realizar, ya que muchos de estos nódulos de pequeño tamaño no son visibles ni palpables durante la VATS4. En los últimos años se han descrito varias técnicas de marcaje preoperatorio de nódulos pulmonares con control radiológico que permiten una resección segura mediante VATS de los nódulos pulmonares de pequeño tamaño5. Presentamos el caso de un paciente con 2metástasis pulmonares contiguas que fueron marcadas preoperatoriamente con un único marcador liberado en una posición equidistante entre los 2nódulos.
Presentamos el caso de un paciente de 65 años con cáncer de recto en quien se detectaron metástasis pulmonares en el seguimiento radiológico de su neoplasia. Tras tratamiento adyuvante con quimioterapia se observó una desaparición de los nódulos pulmonares salvo una persistencia de 2pequeñas opacidades seudonodulares subcentimétricas en LSI, separadas tan solo 22mm entre sí (fig. 1 A). De forma multidisciplinaria, se decidió su marcaje percutáneo con control radiológico para su posterior resección mediante VATS. Para dicho marcaje inicialmente se acordó la colocación percutánea de 2marcadores (uno para cada opacidad seudonodular) con control radiológico (TC). No obstante, dadas la relativa proximidad entre las 2opacidades pulmonares y la posibilidad de provocar un neumotórax tras la colocación del primer marcador que impidiera la liberación del segundo, se decidió la colocación de un único marcador (una semilla radiactiva I-125 de baja tasa de radiación) en una posición equidistante entre las 2lesiones pulmonares. El procedimiento percutáneo de liberación de la semilla transcurrió sin complicaciones depositándose la semilla a 11mm de cada nódulo (fig. 1 B y C), y el paciente fue sometido una semana después a una VATS radioguiada, la cual extirpó las 2lesiones exitosamente mediante una resección pulmonar en cuña.
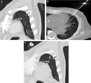
A) Imagen coronal oblicua MIP (proyección de intensidad máxima) de TC de tórax en la que se observan 2pequeñas opacidades subcentimétricas en lóbulo superior izquierdo: una de mayor tamaño (flecha blanca) y otra de menor diámetro (flecha negra). B) Imagen axial MIP de TC de tórax en la que se visualiza el momento en el que se libera la semilla a través de un trocar 18G. C) Imagen coronal oblicua MIP de TC de tórax en la que se comprueba la correcta colocación equidistante de la semilla (flecha curva) de I-125 entre las 2lesiones pulmonares (flechas rectas).
La resección pulmonar de nódulos pulmonares de pequeño tamaño mediante VATS puede ser difícil de realizar si los nódulos no son visibles o palpables4. De entre las diferentes técnicas de marcaje o localización preoperatoria mediante TC de nódulos pulmonares de pequeño tamaño destacan el marcaje con arpón, que es la técnica más utilizada, y la localización mediante la liberación de coils y fiduciales metálicos5. Otras técnicas de marcaje consisten en la inyección intrapulmonar de diversos colorantes, como el azul de metileno o el verde de indocianina («tatuaje» pulmonar), la utilización de ecografía intraoperatoria o la inyección intrapulmonar de sustancias radioopacas (como sulfato de bario o de lipiodol)6. Una técnica alternativa menos explorada es el marcaje de una lesión pulmonar con semillas radiactivas de baja tasa de radiación con I-125, cuya radiactividad permite ser detectada intraoperatoriamente mediante sondas gammadetectoras7. La sonda gammadetectora introducida en la cavidad torácica detecta la radiactividad emitida por la semilla y permite localizarla durante la extirpación quirúrgica, resecando los nódulos pulmonares que se encuentran adyacentes a la misma. Las ventajas principales de esta técnica con respecto a otras formas de marcaje pulmonar residen en la ausencia de movilización de la semilla tras su liberación intrapulmonar y en la posibilidad de programar la VATS días o semanas después del procedimiento de marcaje (no es necesario realizar la cirugía horas después, como ocurre con los arpones)7. Una ventaja adicional de esta técnica de marcaje radica en que las semillas empleadas en nuestro centro proceden del excedente de semillas que se utilizan para el tratamiento con braquiterapia de cáncer de próstata, por lo que el coste del material de marcaje es prácticamente nulo; una vez que dichas semillas alcanzan una radiactividad menor de 150 microcurios, se destinan para el marcaje percutáneo de lesiones tumorales. En nuestro caso, dada la proximidad entre los 2nódulos pulmonares (22mm), se decidió liberar una única semilla en un punto equidistante entre ambas lesiones en lugar de colocar 2semillas. La colocación secuencial de 2semillas habría aumentado de forma significativa no solo el tiempo del procedimiento invasivo sino, especialmente, el riesgo de neumotórax; en este sentido, la aparición de un neumotórax tras el marcaje de la primera lesión habría impedido la liberación de la segunda semilla. Además, en el caso de nuestro paciente, la resección secuencial de 2cuñas pulmonares no suponía una ventaja (desde el punto de vista del volumen de tejido pulmonar sano extirpado) con respecto a una única cuña que incluyera los 2pequeños nódulos.
No hemos encontrado en la literatura un marcaje percutáneo de 2metástasis pulmonares contiguas mediante este abordaje «equidistante» con una única semilla. Creemos que este abordaje en pacientes con nódulos pulmonares contiguos no solo agiliza el procedimiento de localización preoperatoria, sino que minimiza el riesgo de neumotórax sin incrementar el volumen de tejido pulmonar sano extirpado.








