La neumonía lipoidea exógena (NLE) es una patología inusual (incidencia del 1-2,5%), frecuentemente infradiagnosticada, causada por la aspiración y la acumulación de lípidos de origen exógeno dentro de los alvéolos pulmonares. Se han descrito casos por inhalación de lubricantes en fosas nasales y orofaringe, aspiración de aceites minerales contenidos en laxantes en pacientes con trastornos alimentarios, aplicación de brillo de labios, exposición profesional a parafina líquida o aceites minerales («comedores de fuego», uso industrial en lavado de maquinaria, talleres de automóviles, pinturas plásticas, etc.) y aplicación de vaselina en la inserción de sondas nasogástricas y en el cuidado de traqueotomías en pacientes traqueotomizados.
Radiológicamente la NLE suele presentarse como consolidaciones peribronquiales de baja atenuación y opacidades en vidrio deslustrado con una distribución preferentemente bibasal. Presentamos 5 casos de pacientes laringectomizados de larga evolución con diagnóstico de NLE que admitían el uso de vaselina en el cuidado del estoma traqueal.
Exogenous lipoid pneumonia (ELP) is a rare (incidence 1.0%-2.5%), often under-diagnosed disease, caused by the aspiration and accumulation of exogenous lipids within the pulmonary alveoli. Various cases have been described due to inhalation of lubricants via the nasal passages and oropharynx, aspiration of mineral oils in laxatives in patients with eating disorders, application of lip gloss, occupational exposure to liquid paraffin or mineral oils (“fire-eaters”, industrial use in washing of machinery, automobile workshops, plastic paints, etc.) and application of Vaseline during the insertion of nasogastric tubes and in the care of tracheotomy patients.
ELP usually presents radiologically as areas of low-attenuation peribronchial consolidation and ground glass opacities, with a predominantly bibasal distribution. We present 5 cases of long-standing laryngectomy patients diagnosed with ELP who admitted using Vaseline in their tracheal stoma care.
La neumonía lipoidea exógena (NLE) es una entidad poco frecuente, causada por la aspiración de agentes oleosos y su depósito dentro de los alvéolos pulmonares1.
Los hallazgos radiológicos más frecuentes de la NLE son opacidades en vidrio deslustrado o consolidaciones de distribución peribroncovascular, de predominio en campos pulmonares inferiores. Es característica en la tomografía computarizada (TC) la presencia de zonas de atenuación grasa, mientras que en estudios de resonancia magnética (RM) la NLE muestra una intensidad de señal similar a la del tejido graso en las diferentes secuencias. En un contexto clínico adecuado, estos hallazgos en técnicas de imagen pueden resultar diagnósticos de NLE2.
En la literatura existen pocos casos publicados de NLE secundarias a la inhalación de lubricantes utilizados en el cuidado de las cánulas de pacientes traqueostomizados. A continuación presentamos 5 casos de NLE en pacientes con traqueotomía, que aplicaban vaselina en la misma para lubricar y facilitar la inserción de sus cánulas.
Observación clínicaCaso 1Mujer no fumadora de 81 años de edad, asintomática, con antecedentes personales de traqueotomía secundaria a parálisis recurrencial bilateral tras cirugía tiroidea en el 2000. En una radiografía de tórax preoperatoria se encontró como hallazgo casual una imagen compatible con masa en la base pulmonar izquierda.
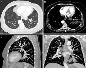
La TC de tórax mostró una consolidación en el lóbulo inferior izquierdo (LII) con áreas de vidrio deslustrado y centro de densidad grasa (fig. 1).
TC de tórax, imágenes axiales con ventana de pulmón (A) y mediastino (B) donde se identifica una consolidación en la base pulmonar izquierda con centro de densidad grasa (−33UH). Las reconstrucciones sagital (C) y coronal (D) demuestran la localización peribronquial de la consolidación del lóbulo inferior izquierdo.
La broncoscopia y los marcadores tumorales resultaron negativos para neoplasia. El análisis del lavado broncoalveolar (BAL) demostró la presencia de macrófagos con inclusiones lipídicas.
La paciente reconoció el uso diario de vaselina líquida para facilitar el cambio y colocación de su cánula de traqueotomía. Al suspender su utilización y tras seguimiento radiográfico (3 meses), se evidenció una resolución parcial de la opacidad descrita.
Caso 2Mujer exfumadora de 67 años de edad, asintomática, traqueotomizada por carcinoma epidermoide en 2004 tratado con laringectomía supraglótica y radioterapia. La radiografía de tórax mostró una consolidación basal derecha.
Dados los antecedentes oncológicos de la paciente, se decidió realizar una tomografía por emisión de positrones (PET)/TC. En el componente PET del estudio se observaron áreas hipermetabólicas en las zonas de consolidación pulmonar. En el componente de TC se objetivó la presencia de opacidades parenquimatosas con atenuación grasa, emitiéndose el diagnóstico de presunción de neumonía lipoidea. Debido a que la paciente rehusaba realizarse una fibrobroncoscopia, se optó por ampliar el estudio de la opacidad mediante RM de tórax, en la que se evidenciaron zonas hiperintensas en secuencias potenciadas en T1, que se suprimían en secuencias con supresión grasa (por ejemplo, la secuencia STIR) (fig. 2). Estos hallazgos eran compatibles con NLE.
Imagen axial de TC de tórax en ventana de mediastino (A) en la que se observa una opacidad en pulmón derecho de distribución peribronquial, con áreas de atenuación grasa (flecha). Imagen de PET (B) en la que se observan áreas hipermetabólicas en la base pulmonar derecha, coincidiendo con las opacidades visualizadas en TC (flecha). Imágenes axiales de RM, en la que se demuestra hiperintensidad de señal de la opacidad en secuencias potenciadas en T1 (C) y supresión de su señal en secuencia de saturación grasa (D) (flechas).
Tras suspender el uso de vaselina para el cuidado de la cánula de traqueotomía y administrar corticoides a dosis bajas, se constató resolución radiográfica completa (6 meses) de la opacidad.
Caso 3Varón exfumador de 57 años de edad con antecedentes personales de traqueotomía por intubación orotraqueal prolongada en 2005. El paciente ingresó en nuestro hospital por una neumonía de origen aspirativo. Tras recibir antibioterapia presentó mejoría clínica y resolución de la consolidación. No obstante, persistía una opacidad basal izquierda refractaria al tratamiento que, característicamente, presentaba focos de atenuación grasa en la el TC. Ante estos hallazgos se emitió el diagnóstico de NLE.
En la broncoscopia se observaron tapones intraluminales de moco.
Caso 4Varón exfumador de 60 años de edad, con EPOC fenotipo bronquitis crónica y antecedente de carcinoma epidermoide supraglótico tratado en 2004 con laringectomía total, radioterapia y quimioterapia. Posteriormente el paciente presentó progresión local y a distancia (metástasis pulmonares).
El paciente tuvo ingresos hospitalarios frecuentes por neumonías de repetición con mejoría clínica tras tratamiento antibiótico. En controles radiológicos sucesivos se demostró la desaparición de las opacidades neumónicas, aunque persistía una imagen seudonodular de 3cm con centro de atenuación grasa en LII, compatible con foco de NLE.
En la broncoscopia no se identificaron datos de malignidad, únicamente se visualizaron restos de fibrina en el bronquio del LII.
Caso 5Varón exfumador de 53 años de edad, EPOC fenotipo bronquitis crónica, tratado de carcinoma epidermoide en el año 2004 mediante laringectomía, radioterapia y quimioterapia. En mayo de 2013 se visualizó en una TC de tórax un nódulo pulmonar de 16mm en el lóbulo inferior derecho (LID), que obliteraba la luz bronquial. Asimismo se demostraron opacidades alveolares con áreas de atenuación grasa en las porciones basales del lóbulo medio y del LII, concordantes con NLE en paciente traqueostomizado. La PET/TC mostró captación en el área del nódulo del LID, sugestiva de malignidad. Se evidenció la presencia de lipófagos en el BAL. El resultado de la biopsia por fibrobroncoscopia fue de invasión mucosa por carcinoma de células escamosas. El paciente se desestimó para cirugía, por lo que fue remitido a oncología radioterápica para tratamiento.
DiscusiónLa neumonía lipoidea es una entidad rara, definida por la presencia de lípidos intraalveolares, pudiendo clasificarse en exógena o endógena1-6.
La neumonía lipoidea exógena (NLE) es una variante poco frecuente de neumonía lipoidea causada por la aspiración de agentes oleosos (lubricantes de fosas nasales, vaselina, brillo de labios, parafina…). Puede ser crónica (en relación con aspiración recurrente) o aguda (secundaria a la aspiración accidental de una alta cantidad de agente oleoso).
Clínicamente, la variante crónica de NLE suele cursar de forma asintomática u oligosintomática. En nuestra serie, la mayor parte de los pacientes estaban asintomáticos. El síntoma más frecuente fue la tos crónica no productiva (tabla 1).
Características clínicas y radiológicas de los pacientes
| Edad/Sexo | Tiempo laringectomía | Rx | TC | PET | RM | FBC/BAL | Evolución | Localización | |
|---|---|---|---|---|---|---|---|---|---|
| 1 | 81/M | 13 años | Masa LII | Consolidación con densidad grasa+área de vidrio deslustrado | − | − | Negativa para células malignas/lipófagos | Resolución parcial de opacidad tras suspensión de vaselina | LII |
| 2 | 67/M | 9 años | Opacidad en LID | Áreas de atenuación grasa en LID | ↑ FDG | Hiperintensidad en T1 que suprime en STIR | No realizada | Resolución completa tras suspensión+corticoides | LID |
| 3 | 57/V | 8 años | Opacidad en LII | Opacidad basal izquierda con foco de atenuación grasa | − | − | Tapones moco/células inflamatorias | No realizada (cambio de centro) | LII |
| 4 | 60/V | 10 años | Nódulo LII | Pseudonódulo en LII | − | − | Restos de fibrina/células inflamatorias | Fallecimiento por progresión tumoral | LII |
| 5 | 53/V | 10 años | Opacidades ambas bases | Opacidades hipodensas bibasales peribronquiales | − | − | Cambios inflamatorios crónicos/lipófagos | Resolución completa | LII y LM |
Los hallazgos radiológicos en TC de tórax de la NLE han sido descritos en varios artículos, siendo el más frecuente la presencia de consolidaciones y áreas de atenuación en vidrio deslustrado peribronquiales, de predominio basal1,2,6. De forma característica, estas consolidaciones presentan una atenuación en el rango del tejido graso (−200 a −100 unidades Hounsfield). Este hallazgo, en un contexto clínico apropiado, podría ser suficiente para el diagnóstico de neumonía lipoidea según algunos autores2. Otros hallazgos radiológicos menos frecuentes son: patrón en empedrado (superposición de un patrón lineal sobre un patrón en vidrio deslustrado) del parénquima pulmonar, secreciones endobronquiales o áreas inespecíficas de neumonitis postobstructiva7,8. En nuestra serie, el hallazgo radiológico más habitual era la presencia de opacidades basales mal definidas, con áreas de densidad grasa en TC (tabla 1).
Al poder presentarse como nódulos o masas, uno de los diagnósticos diferenciales de la NLE es el de una lesión maligna. Por ello, en algunos pacientes se realizan pruebas diagnósticas complementarias como la PET/TC. En la NLE puede existir un aumento inespecífico de la captación de FDG secundario a cambios inflamatorios asociados, por lo que estos estudios deben interpretarse integrando los hallazgos morfológicos de la TC, para no incurrir en falsos positivos2,9,10.
Aunque la RM no es una técnica de elección para evaluar el parénquima pulmonar, puede resultar útil en el diagnóstico, demostrando el contenido graso de las lesiones en secuencias potenciadas en T1 y la cancelación de su señal en secuencias de supresión grasa (por ejemplo, la secuencia STIR)2. En el segundo caso de nuestra serie, ante la negativa de la paciente para realizarse una broncoscopia, se optó por completar el estudio mediante esta técnica, la cual resultó útil en la confirmación del contenido graso en la opacidad visualizada en la TC.
El diagnóstico de certeza de NLE normalmente exige demostrar la presencia de lipófagos (macrófagos vacuolados cargados de lípidos) en esputo, en punción aspirativa transtorácica con aguja fina, biopsia transbronquial y/o BAL, existiendo una buena correlación entre la gravedad de la enfermedad y el número de macrófagos alveolares vacuolados3,5. En otros estudios se ha demostrado que el BAL constituye una alternativa terapéutica eficaz, ya que produce el aclaramiento de sustancias oleosas en el parénquima pulmonar, evitando así la formación de fibrosis.
Tras una amplia revisión bibliográfica no hemos encontrado en la literatura una serie con tantos casos de NLE en pacientes laringectomizados en una misma institución. Los 5 casos presentados (tabla 1) comparten, como factor común, la utilización de productos oleosos (vaselina) para el cuidado y la lubricación de las cánulas de traqueotomía. En la TC todos los casos mostraron imagen de atenuación grasa, altamente sugestiva de neumonía lipoidea.
Entre los diagnósticos diferenciales radiológicos de lesiones con contenido graso se encuentran las metástasis de liposarcoma o los hamartomas, si bien sus características radiológicas son distintas a las de NLE10.
La detección de estos casos de NLE conllevó a contactar con la Unidad de Traqueotomizados del servicio de ORL de nuestro hospital, para discutir con ellos los hallazgos encontrados y la relación con el uso de vaselina como lubricante para las cánulas de traqueotomía. De esta manera, apoyados en nuestros datos clínicos y radiológicos, recomendamos la no utilización de lubricantes liposolubles (como la vaselina) en el cuidado diario del estoma traqueal de los pacientes laringectomizados, para evitar su aspiración.
En nuestra opinión, los hallazgos radiológicos (radiología convencional, TC, RM y/o PET/TC) dentro de un contexto clínico apropiado proporcionaron datos suficientemente fiables para el diagnóstico de neumonía lipoidea. Creemos que en algunos casos las pruebas radiológicas podrían ser suficientes y evitar la realización de pruebas invasivas.










