En febrero de 2011, un varón de 53 años de edad fue ingresado en nuestro centro por fiebre, tos no productiva y disnea de esfuerzo; el paciente no refirió antecedentes de exposiciones laborales durante el examen médico.
La tomografía computarizada (TC) de tórax mostró consolidaciones pulmonares bilaterales que afectaban predominantemente a los lóbulos inferiores.
Los análisis de sangre no mostraron presencia de leucocitosis, y la fórmula leucocitaria fue de un 72,7% de neutrófilos y un 18,5% de linfocitos. Los análisis del suero fueron negativos. Los análisis de anticuerpos anticitoplasma de neutrófilos (ANCA), anticuerpos antinucleares (ANA), anticuerpos anti-DNA y anticuerpos para antígenos nucleares extraíbles (ENA) fueron negativos.
La gasometría arterial (ABG) mostró una hipoxemia moderada, con una presión parcial de oxígeno (PO2) de 52mmHg, una PCO2 de 34mmHg y un pH de 7,48; la saturación de oxígeno arterial (SaO2) fue del 88%.
En la muestra de frotis faríngeo, el análisis de H1N1 fue positivo.
El paciente fue derivado a la unidad de enfermedades infecciosas, y fue tratado con una terapia combinada consistente en prednisona 25mg, 2 veces al día por vía oral durante 10 días, cefotaxima 1g, 2 veces al día por vía i.v. durante 10 días, zanamivir en inhalaciones (2×5mg) 2 veces al día durante 5 días y oseltamir 75mg en cápsula 2 veces al día durante 5 días; presentó una rápida mejoría del estado clínico que se evidenció tanto radiológicamente como en gasometría. A los 20 días, el paciente fue dado de alta en buen estado.
Se realizó una TC de tórax antes del alta, en la que se observó una buena recuperación de la función pulmonar, mientras que la ABG fue normal (pH=7,41; PCO2=37mmHg; PO2=85mmHg y SaO2=96%).
El paciente fue remitido, entonces, a un seguimiento neumológico consistente en exámenes mediante TC de alta resolución (TCAR) del tórax, análisis de la ABG, y pruebas de función pulmonar con determinaciones de la capacidad de difusión del pulmón para el monóxido de carbono (DLCO).
En los seguimientos realizados al cabo de 1, 3 y 6 meses, el paciente estuvo asintomático; las TCAR de tórax seriadas mostraron una consolidación basal pequeña, de menos de 3cm de diámetro, formada por opacidades reticulares y en vidrio esmerilado.
Resaltamos que los signos radiológicos descritos no se modificaron en su forma ni en sus dimensiones. Las pruebas de la función pulmonar mostraron valores normales: FVC=86,6%; FEV1=96%; FEV1/FVC: 88,47; DLCO: 78% y SpO2: 96%.
En mayo de 2012, el paciente pasó a presentar síntomas, con tos no productiva y disnea de esfuerzo. El paciente regresó a la observación con una notable disminución de los parámetros de la función pulmonar: FVC=66,7%; FEV1=76,2%; FEV1/FVC=90,63, SpO2=91%; además, se registró una reducción grave de los valores de DLCO (55 frente al 78%).
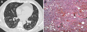
A continuación se repitió la TCAR de tórax, que mostró una borrosidad en vidrio esmerilado y una opacidad reticular periférica, que se apreciaba sobre todo en las bases pulmonares (fig. 1A).
A) TCAR de tórax en la que se observa una borrosidad en vidrio esmerilado y una opacidad reticular periférica que se manifiestan especialmente en las bases pulmonares. B) El examen histopatológico mostró lo siguiente: tabiques alveolares ensanchados con proliferación de neumocitos tipo ii e infiltrado inflamatorio mononuclear con fibrosis intersticial en un patrón en parches (patchwork pattern) que sugería una neumonía intersticial usual (tinción de hematoxilina-eosina, aumentos originales 100×).
Los análisis de sangre y suero fueron normales. Se practicó al paciente una fibrobroncoscopia flexible con biopsia transbronquial que no fue resolutiva (el examen histopatológico mostró tan solo un infiltrado inflamatorio de linfocitos y fibrosclerosis septal alveolar) y el lavado broncoalveolar (LBA) fue negativo.
Se llevó a cabo una biopsia de pulmón quirúrgica mediante VATS bajo anestesia general con ventilación de un solo pulmón, utilizando un abordaje de 3 puertos en el lado derecho (una muestra de cada lóbulo).
El examen histopatológico mostró lo siguiente: tabiques alveolares ensanchados con proliferación de neumocitos tipo II e infiltrado inflamatorio mononuclear con fibrosis intersticial en un patrón parcheado (patchwork pattern) que sugería una neumonía intersticial usual (fig. 1B). El periodo postoperatorio transcurrió sin incidencias y el paciente fue remitido a la unidad de neumología para un tratamiento médico adecuado.
Aunque la neumonía intersticial usual (UIP, por sus siglas en inglés) es una enfermedad de etiología desconocida, entre los posibles factores de riesgo se han descrito los siguientes: síndrome de dificultad respiratoria del adulto (SDRA), exposiciones ambientales a polvos de metal, tabaquismo, enfermedades del tejido conjuntivo, toxicidad de fármacos, infección viral crónica como las debidas a EBV, citomegalovirus, VHC, HHV-7 y HHV-81.
En la neumonía por H1N1, se ha observado una opacidad de vidrio esmerilado en las imágenes del tórax y una reducción de la DLCO en un estudio, a los 3 meses de seguimiento2,3. Presentamos aquí un caso muy poco frecuente de UIP tardía iniciada después de una neumonía relacionada con H1N1 no complicada, en un varón de 53 años, que se observó en la TCAR un año después del inicio de la enfermedad.
Estos resultados, junto con la histopatología, fueron compatibles con la aparición de una fibrosis pulmonar. La fibrosis pulmonar puede producirse después de un SDRA o de una neumonía asociada al respirador4,5.
En nuestro paciente, los signos radiológicos de fibrosis fueron confirmados por el examen histopatológico de muestras de biopsia quirúrgica, obtenidas con un método de VATS clásico6.
Con la presentación de este caso, llamamos la atención respecto a una secuela a largo plazo en un paciente que no presentó un SDRA con anterioridad y que no necesitó ventilación mecánica. La fibrosis pulmonar sintomática con un patrón de UIP en la TCAR y la histopatología se observó un año después de la infección gripal y, por lo demás, el paciente era un adulto sano que no presentaba ninguna de las comorbilidades que se sabe que se asocian a la infección gripal.
De hecho, en la literatura no hay ninguna descripción de una correlación entre el H1N1 y la UIP, aunque se describan algunos casos tras un SDRA en la H1N14–6; creemos que esta es la característica excepcional de la presentación de nuestro caso.








