Presentamos el caso de 2 hermanos gemelos con déficit de proteína C surfactante que fueron tratados mediante el empleo de hidroxicloroquina durante 3 años, con aparente éxito. La fisiopatología exacta de esta enfermedad no se conoce, y no disponemos de ningún tratamiento específico para ella; tan solo tenemos noticia de unas pocas descripciones previas en la literatura sobre el uso de hidroxicloroquina para el déficit de proteína C surfactante con resultados satisfactorios. Dos años después de la retirada del tratamiento se volvió a evaluar a los gemelos: no presentaron nuevas infecciones, el crecimiento y el estado general fueron normales, y la TC de tórax mostró una notable reducción adicional de la neumopatía intersticial. Estos datos parecen poner en duda la eficacia de la hidroxicloroquina, y sugieren que la mejoría clínica fue simplemente la evolución natural de la enfermedad.
We present the case of two twin brothers with surfactant protein C deficiency who were treated with hydroxychloroquine for three years, with apparent success. The exact physiopathology of this disease is not known and there is no specific treatment for it. There is merely news from a few previous descriptions in the literature about the use of hydroxychloroquine for surfactant protein C deficiency with satisfactory results. Two years after the treatment was withdrawn, the twins were evaluated once again: they presented no new infections, growth and general state were normal and chest CT showed a notable additional reduction in the interstitial pneumopathy. These data seem to cast some doubt on the efficacy of hydroxychloroquine, and they suggest that the clinical improvement was simply the natural evolution of the disease.
El déficit de proteína C surfactante se caracteriza por un déficit de la proteína y por su acumulación intracelular, con la consiguiente inflamación local y neumopatía intersticial. No disponemos de ningún tratamiento específico, pero se ha descrito la eficacia de la hidroxicloroquina.
Describimos el caso de 2 hermanos gemelos con déficit de proteína C surfactante que presentaban episodios recurrentes de dificultad respiratoria. Fueron tratados con hidroxicloroquina durante 3 años, tras lo cual se retiró el tratamiento sin que hubiera nuevas recurrencias.
Presentación de los casosDos hermanos gemelos monocigotos nacieron en la semana 31 de gestación, con un peso al nacer de 1.490 y 1.710g, respectivamente. La madre recibió una profilaxis con corticoides para la enfermedad de las membranas hialinas.
Los primeros meses de vida se caracterizaron por un retraso del crecimiento y, a partir de los 7 meses de edad, por episodios recurrentes de dificultad respiratoria, con tos, fiebre, sibilancias, taquidisnea y desaturación con crepitantes bilaterales. Las radiografías de tórax mostraron una afectación intersticial aguda. Durante el primer año de vida, uno de los gemelos fue hospitalizado en 4 ocasiones (en 2 de las cuales fue precisa una intubación traqueal) y el otro en 3 (una de ellas con necesidad de intubación). En cada una de ellas fueron tratados con oxígeno, antibióticos, corticoides y broncodilatadores. Los cultivos de la aspiración del tubo traqueal y las pruebas de citomegalovirus, Pneumocystis y Mycoplasma dieron resultados negativos. Se descartó la fibrosis quística, la enfermedad de Schwachmann, la malabsorción, la inmunodeficiencia y la hipertensión pulmonar.
En los 2 años siguientes de vida, los pacientes presentaron 3 episodios más leves cada año. Entre los episodios, la exploración física mostró una taquipnea moderada en reposo (frecuencia respiratoria de 45/min), con una saturación de oxígeno del 97% respirando aire ambiental. La exploración física mostró progresivamente dedos en palillo de tambor y deformidades torácicas con aplanamiento del diámetro anteroposterior.
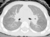
A la edad de 30 meses (en la que el último episodio se había producido 2 meses antes), se obtuvo una radiografía de tórax durante un periodo de mantenimiento de un buen estado en el gemelo con unos antecedentes clínicos más graves, y se observó una afectación alveolar intersticial persistente; la TCAR reveló una atenuación de la imagen de vidrio esmerilado, con patrón intersticial y nódulos finos (fig. 1).
Dada la forma de presentación clínica similar en los 2 hermanos y las observaciones similares en la radiografía de tórax, se sospechó un diagnóstico de déficit de surfactante C: la biopsia pulmonar mostró la presencia de granulomas de colesterol alveolares e infiltrados de linfocitos y macrófagos. El análisis genético mostró una mutación de novo en el gen SFTPC (sustitución del aminoácido I73T).
Se inició el tratamiento con hidroxicloroquina oral (10mg/kg/día) a la edad de 3 años, con prednisona (2mg/kg/día durante el primer mes y posterior reducción gradual hasta la suspensión) durante los 3 primeros meses.
Con el inicio del tratamiento, solamente se produjo un episodio de infección de vías respiratorias altas, sin dificultad respiratoria, que no requirió hospitalización y se trató domiciliariamente mediante el empleo de antibióticos orales (fig. 2).
Los gemelos no presentaron efectos adversos inducidos por el fármaco y recuperaron los valores normales de altura y peso (fig. 3). Después de 18 meses de tratamiento, la familia se trasladó a otra ciudad y no se realizaron más exámenes de seguimiento.
Al cabo de 4 años, la familia regresó y solicitó una re-evaluación. Por decisión propia, 2 años antes, los padres habían suspendido el tratamiento (que se mantuvo durante un total de 3 años y 6 meses de forma continuada).
Después de la suspensión del tratamiento, los gemelos no presentaron ningún episodio destacable de infección pulmonar y disfrutaron de un crecimiento normal. La exploración física fue normal, al igual que la saturimetría. A la edad de 9 años se repitió la TCAR en el gemelo que tenía antecedentes clínicos más graves, y se observó una reducción de la neumopatía intersticial (fig. 4). Se realizó espirometría en ambos hermanos, que dio unos resultados apropiados para la edad.
DiscusiónEl déficit de proteína C surfactante es una enfermedad autosómica dominante muy infrecuente que se caracteriza por un déficit de la proteína y su acumulación intracelular1, de manera asociada a una insuficiencia pulmonar aguda y una neumopatía intersticial2. La mutación I73T es una de las mutaciones más frecuentes del SFTPC3. La forma de presentación clínica va de la dificultad respiratoria inmediatamente después del parto al retraso del crecimiento y aparición progresiva de una insuficiencia respiratoria a una edad mayor. La edad de inicio, la gravedad de la enfermedad y la evolución natural del trastorno muestran diferencias incluso en una misma familia con la misma mutación4.
No disponemos de ningún tratamiento específico. La evidencia indicativa de una acumulación intracelular de una proteína con un defecto estructural, con la consiguiente inflamación local, sugirió el empleo de fármacos antiinflamatorios.
Se ha descrito la eficacia de la hidroxicloroquina oral, sola o asociada a corticoides3,5,6. Que nosotros sepamos, la cuestión de la duración adecuada del tratamiento no se ha abordado en este contexto. En estos 2 pacientes hubo una respuesta aparente al tratamiento, que se suspendió después de 3 años. Dos años después de retirada la medicación, se mantuvo un buen estado, sin signos clínicos ni radiológicos de recaída.
Estos datos parecen poner en duda la eficacia de la hidroxicloroquina. El hecho de que no se produjera un empeoramiento de la enfermedad tras la suspensión del tratamiento sugiere claramente que la mejoría clínica fue simplemente la evolución natural de la enfermedad.
Aun considerando una posible eficacia del tratamiento, esta experiencia sugiere al menos la posibilidad de detener el tratamiento en un cierto punto, limitando con ello los efectos secundarios de una medicación que puede ser tóxica. Los efectos secundarios frecuentes consisten en alteraciones gastrointestinales, erupción cutánea y cefalea; la toxicidad ocular es muy poco frecuente pero puede conducir a una retinopatía irreversible7.
Por el momento se sabe todavía muy poco acerca de la prevalencia, la fisiopatología y la evolución de la enfermedad asociada al déficit de proteínas surfactantes. Esperamos que este tipo de informes sirvan de base para el diseño y la realización de estudios multicéntricos que establezcan claramente las medidas que deben tomarse para el diagnóstico y el tratamiento de los pacientes.











