Mycobacterium interjectum (M. interjectum) es una micobacteria no tuberculosa, poco frecuente, citada como causa de linfadenitis cervical en pacientes jóvenes1. Comunicamos un caso de enfermedad pulmonar.
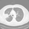
Varón de 52 años, fumador activo, que consultó por fiebre, malestar general y expectoración hemoptoica de 15 días de evolución. En la auscultación pulmonar llamaba la atención la presencia de estertores crepitantes aislados. En la radiografía de tórax se visualizaba una condensación en lóbulo superior derecho y aumento de tamaño hiliar homolateral. Se pautó tratamiento con levofloxacino con escasa mejoría, por lo que se solicitó una TC torácica que mostraba una condensación con broncograma aéreo en segmento posterior de lóbulo superior derecho (fig. 1), adenopatías hiliares derechas y en espacios pretraqueal retrocavo y prevascular. Se realizó una broncoscopia, macroscópicamente normal, con muestras citológicas y baciloscopia de aspirado bronquial sin anomalías. Por ello se programó una biopsia pulmonar con aguja gruesa guiada por TC, cuyo estudio histológico reveló la presencia de granulomas con células gigantes multinucleadas e histiocitos transformados tipo célula epitelioide, alguno de ellos con necrosis central. Se comenzó tratamiento con isoniacida, rifampicina, piracinamida y etambutol. Posteriormente se aisló en el cultivo de micobacterias del aspirado bronquial, M. interjectum, utilizando tecnología de ADN basado en la hibridación inversa de los productos de PCR dirigidos a la región del gen 23S rRNA (GenoType®Mycobacterium CM). La evolución fue satisfactoria y al segundo mes el cultivo de micobacterias fue negativo. Se mantuvo el régimen terapéutico, retirando pirazinamida y etambutol, continuando con isoniacida y rifampicina hasta completar un año, momento en el que el paciente se encontraba asintomático, mostrando la radiografía de tórax un infiltrado fibrocicatricial en lóbulo superior derecho. En la actualidad, 20 meses después, permanece estable sin evidenciarse reactivación de la enfermedad.
Revisada la literatura, se han publicado solo 3 casos de enfermedad pulmonar por M. interjectum2–4. Todos ellos se trataban de enfermedades cavitarias en las que el aislamiento de M. interjectum se obtuvo tardíamente y el antibiograma mostraba resistencia a isoniacida, rifampicina, piracinamida3 y etambutol3,4, si bien uno3 había sido tratado inicialmente de manera satisfactoria con tratamiento antituberculoso estándar, pero 18 meses después comenzó nuevamente con síntomas y progresión radiológica, aislándose la micobacteria no tuberculosa con la resistencia farmacológica mencionada.
A diferencia de los casos referidos, nuestro caso no es una enfermedad cavitaria y la respuesta fue adecuada con fármacos antituberculosos de primera línea, pese a la resistencia a rifampicina y etambutol descrita. Dada la buena evolución clínica tras la identificación de la micobacteria, no se consideró necesaria la realización de antibiograma, lo que puede suponer una limitación. No obstante, si tenemos en cuenta las discrepancias existentes entre las resistencias in vivo e in vitro, que ponen en duda el significado real de las resistencias in vitro en determinadas situaciones, y el largo tiempo de seguimiento, no creemos que este hecho reste validez a la experiencia comunicada.
Concluimos que M. interjectum es un causa poco habitual de enfermedad pulmonar, en la que, una vez que se confirme el diagnóstico, podría ensayarse una pauta estándar de tratamiento antituberculoso.
Conflicto de interesesLos autores declaran no tener ningún conflicto de intereses.








