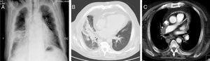
Comunicamos el caso de un varón no fumador de 63 años de edad, que acudió al servicio de urgencias con disnea y fiebre de inicio brusco. La radiología de tórax mostró una opacidad nodular irregular en la región perihiliar derecha (fig. 1A), por lo que el paciente fue hospitalizado en área médica con diagnóstico de neumonía. El estado clínico del paciente empeoró a pesar de la cobertura antibiótica de amplio espectro, por lo que se practicó una TAC torácica que reveló un signo del halo invertido (SHI) en el pulmón derecho (fig. 1B). Este hallazgo dio lugar a un estudio exhaustivo, que incluyó una angiografía pulmonar mediante TAC en la que se demostró la presencia de un trombo en la arteria pulmonar principal derecha (fig. 1C).
El SHI o signo del atolón se caracteriza por la observación de una opacidad en vidrio esmerilado central, rodeada por una consolidación más densa en forma de media luna o circular en el espacio aéreo1.
Aunque inicialmente se consideró un signo patognomónico de neumonía organizada, esta manifestación se ha relacionado con una amplia variedad de enfermedades infecciosas y no infecciosas, entre las cuales se encuentra el embolismo pulmonar (EP)1. En este último caso, el SHI parece que se corresponde con un infarto pulmonar en el EP2 y el diagnóstico se debería fundamentar en los hallazgos clínicos y radiológicos.








