Los schwannomas bronquiales, también conocidos como tumores de células granulares y mioblastomas son tumores benignos raros1, con afectación endobronquial infrecuente, curso benigno y cuyo tratamiento es quirúrgico.
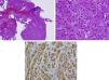
Mujer de 40 años, fumadora de 20 años/paquete, con criterios clínicos de bronquitis crónica, acudió a urgencias por fiebre de 39°C, malestar general, tos seca, mialgias, cefalea y dolor faríngeo de 2 días de evolución. La Rx de tórax mostró infiltrado alveolar en el lóbulo superior izquierdo (LSI). Con el diagnóstico de neumonía adquirida en la comunidad, inició levofloxacino 500mg durante 7 días de forma ambulatoria. Tras 4 semanas se realizó control radiológico y se remitió a neumología. En la anamnesis refería episodios de infecciones de vías bajas desde hacía años. La exploración física y la analítica fue normal. La Rx de tórax mostraba atelectasia del LSI, con elevación del hilio izquierdo. La TAC torácica mostró una lesión nodular de 2cm, en el LSI, provocando atelectasia parcial, sin adenopatías mediastínicas, ni hiliares. La espirometría fue normal. La fibrobroncoscopia mostró en el árbol bronquial izquierdo una obstrucción del lobar superior por tumoración pediculada, con superficie lisa, brillante y vascularizada, alcanzando carina de división lobar, no adherida a paredes laterales. La biopsia reveló células fusiformes, poligonales y citoplasma granular, con expresión en la inmunohistoquímica (IHQ) de enolasa neuro-específica, proteína S100 y vimentina (fig. 1), compatible con schwannoma en el LSI.
A) A pequeños aumentos se aprecia zona de epitelio bronquial (arriba a la derecha, más oscuro) y el resto está formado por la tumoración. B) A grandes aumentos se aprecian las células con morfología fusiforme y citoplasma granular. Schwannoma bronquial o tumor de células granulares. C) Inmunohistoquímica positiva para S100 (coloración más oscura).
La paciente fue sometida a una lobectomía superior izquierda, no habiendo precisado tratamiento complementario.
Los schwannomas son tumores benignos extremadamente raros1 que se originan a partir de las células de Schwann, que son las que producen la vaina de mielina que recubren los nervios periféricos. El primer caso fue descrito por Feckner en 1938 y desde entonces se han publicado menos de 80 casos. Son tumores de crecimiento lento, que no infiltran el axón neuronal, pudiendo afectar la conducción nerviosa por compresión extrínseca. La localización es muy amplia, de forma más frecuente en piel y lengua2, observándose localización endobronquial tan solo en un 6%2,3.
Su presentación afecta a edades medias de la vida, sin observarse diferencias por género1. La clínica puede variar y está determinada por el tamaño y la localización, debutando con síntomas de asma, tos no productiva, infecciones recurrentes (como en nuestro caso), fiebre, disnea y hemoptisis2,3. Las lesiones suelen presentarse en grandes bronquios o en bifurcaciones3,4. Hasta un 25% pueden ser múltiples, simulando incluso metástasis si coexisten otras neoplasias2. La Rx puede ser útil para el diagnóstico diferencial, pero el diagnóstico suele obtenerse en la fibrobroncoscopia ante atelectasias y neumonías secundarias, como en nuestro caso2,3.
Desde el punto de vista histológico, se trata de células poligonales y fusiformes, con citoplasma granular, con IHQ que expresan antígenos para proteína S100, vimentina y enolasa neuro-específica y queratinas negativas4.
En cuanto al tratamiento, aunque se ha recomendado la resección endoscópica para lesiones pequeñas, debido al riesgo de recurrencia, la resección quirúrgica sigue siendo el tratamiento de elección, independientemente de su tamaño3,5. El pronóstico es favorable, con supervivencia media superior a los 5 años tras la cirugía1.
Conflicto de interesesLos autores declaran no tener ningún conflicto de intereses.








