Leímos con gran interés la carta al director de Laguna Sanjuanelo et al.1, que comunicaron el caso de una mujer de 68 años de edad con una lesión que ocupaba espacio en la arteria pulmonar (AP) izquierda, y era compatible con un trombo intramural. La paciente recibió tratamiento anticoagulante durante un año, pero se sugirió que podía tratarse de un tumor porque los estudios radiológicos de seguimiento mostraban progresión de la lesión intraarterial. El diagnóstico final fue una metástasis de un cáncer de pulmón microcítico.
Los autores comentaban la dificultad que supone determinar la naturaleza de este tipo de lesiones. Queremos subrayar la importancia de las técnicas de imagen en el diagnóstico diferencial del tumor maligno de la AP y el tromboembolismo pulmonar. Los pacientes portadores de tumores de AP suelen presentar disnea, tos, hemoptisis y/o dolor torácico. Debido a la similitud entre estos síntomas y los del embolismo pulmonar, algunos pacientes reciben tratamiento inicial con anticoagulantes2.
En ausencia de factores de riesgo de embolismo pulmonar, como una trombosis venosa profunda, y si el paciente no responde al tratamiento anticoagulante, la presencia de un tumor de AP se debe descartar clínicamente. Otras características, como una rápida evolución de los síntomas y pérdida de peso, fiebre, anemia y elevación de la velocidad de sedimentación globular, pueden ser pistas sutiles que faciliten el diagnóstico2–4.
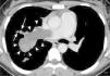
La tomografía axial computarizada (TAC) y la resonancia magnética (RM) se consideran las pruebas complementarias más útiles para diferenciar una tumoración de un trombo2,3. En ambas enfermedades, la TAC con contraste muestra defectos de llenado intraluminal poco atenuados, y la diferenciación radiológica entre un tumor de AP y un tromboembolismo puede ser difícil4. Los hallazgos indicativos de tumor de AP en la TAC (fig. 1) son los defectos de llenado hipodensos con atenuación no homogénea que ocupan la totalidad de la luz de la arteria acompañados de un incremento del diámetro del vaso; presencia de tejido blando circundante que ocupa toda la luz de la AP; distensión vascular debida al crecimiento del tumor; AP periféricas de aspecto arrosariado; extensión extravascular del trombo; y captación variable y retardada del contraste en la angiografía por TAC2,4.
Tomografía axial computarizada con contraste de una mujer de 35 años de edad que presentaba disnea, dolor torácico y hemoptisis de varios meses de evolución. Un defecto de llenado extenso, irregular y con atenuación no homogénea ocupa la arteria pulmonar principal derecha y se extiende hacia sus ramas, que muestran aumento de sus diámetros (puntas de las flechas). Obsérvese también el aspecto arrosariado de una arteria periférica (flechas).
La RM contrastada con gadolinio también podría ser útil para distinguir un tumor de un trombo5. Los criterios que sugieren la presencia de un tumor de AP son similares a los de la TAC: densidad de tejido blando en la AP con atenuación de cualquier grado y no homogénea (hemorragia, necrosis), distensión vascular y captación heterogénea tras la administración de gadolinio, indicativa de neovascularización2,3.
El diagnóstico precoz y la resección quirúrgica radical constituyen la única posibilidad de curación3. Un diagnóstico preoperatorio preciso permite poder seleccionar el mejor abordaje quirúrgico y valorar el tiempo necesario para obtener una prótesis o un aloinjerto, cuya disponibilidad no siempre es inmediata5. En presencia de una imagen radiológica sospechosa, la biopsia guiada por TAC puede ofrecer un diagnóstico preoperatorio correcto5.








