Hombre de 45 años de edad, fumador, que fue derivado para la valoración de un esputo hemoptoico (estrías hemáticas) y una lesión quística extensa localizada en el lóbulo pulmonar inferior izquierdo (LII). En la tomografía computarizada (TC) torácica se observó la presencia de atrapamiento aéreo en LII. Antes de completar la evaluación diagnóstica, el paciente se perdió para el seguimiento. Al regresar después de un intervalo de 2 meses, se observó la «desaparición» del quiste junto con el colapso completo del LII. La broncoscopia de fibra óptica reveló la presencia de un tumor que ocluía por completo el bronquio principal del LII y la biopsia confirmó la presencia de un carcinoma pulmonar de células escamosas. El perfil clínico-radiológico temporal sugirió un mecanismo de válvula como consecuencia de la obstrucción endobronquial como causa primaria de la formación del quiste. Entre grandes fumadores que se presentan con quistes pulmonares solitarios, sintomáticos, el caso descrito destaca la necesidad de considerar la obstrucción endobronquial maligna como la etiología probable.
A 45-year-old smoker was referred for evaluation of recent onset streaky hemoptysis and a large cystic lesion in the left lower lobe (LLL). Presence of air trapping in LLL was observed on computed tomography scan of thorax. Prior to completion of diagnostic evaluation, the patient was lost to follow up. On return after a two-month gap, ‘disappearance’ of the cyst was observed along with complete collapse of LLL. A fibreoptic bronchoscopy revealed presence of a tumor completely occluding the LLL main bronchus and biopsy confirmed presence of squamous cell carcinoma of lung. The temporal clinico-radiological profile suggested a check-valve mechanism resulting from endobronchial obstruction as the primary mechanism for cyst formation. This case highlights the need to consider malignant endobronchial obstruction as the likely etiology among heavy smokers presenting with symptomatic solitary lung cysts.
Las lesiones quísticas del pulmón son anomalías radiológicas observadas con frecuencia. La mayoría se relacionan con enfermedades benignas. Rara vez se ha observado la transformación maligna de quistes benignos1–3. La formación de un quiste pulmonar es una manifestación de presentación excepcional de un cáncer de pulmón primario y sólo se han publicado algunos casos clínicos4,5. En el presente artículo describimos a un paciente que inicialmente se presentó con un quiste en el lóbulo pulmonar inferior izquierdo, detectado en la radiografía de tórax, y en el que posteriormente, tras la «desaparición» del quiste y el colapso completo del lóbulo afectado, se estableció un diagnóstico de carcinoma pulmonar de células escamosas.
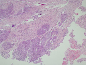
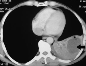
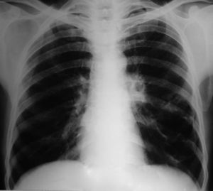
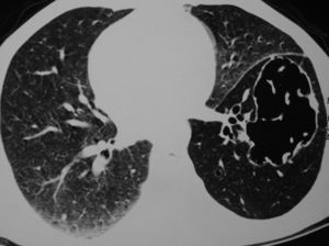
Caso clínicoUn hombre de 45 años de edad solicitó una valoración de su médico de cabecera tras los antecedentes de esputo hemoptoico y tos seca de un mes de duración. Por consiguiente, fue derivado al hospital de los autores después de que la visión posteroanterior de una radiografía de tórax (fig. 1) mostrara la presencia de un quiste en el lóbulo inferior izquierdo (LII). En la valoración inicial se obtuvo una anamnesis en la que el paciente refirió antecedentes de tabaquismo de 26 paquetes/año. También refirió que en la radiografía de tórax previa, efectuada 2 años antes en una revisión médica anual sistemática, no se encontraron anomalías. Tampoco tenía antecedentes de enfermedades respiratorias previas. La exploración física reveló una disminución de la intensidad del murmullo vesicular sobre las áreas inter e infraescapulares internas. La tomografía computarizada (TC) de tórax reveló un quiste de forma irregular y pared fina, junto con una disminución generalizada de la atenuación en el LII (fig. 2). Se programó una broncoscopia de fibra óptica (BFO), pero el paciente se perdió para el seguimiento. Más tarde regresó tras un período de 2 meses, en vista de los síntomas crecientes. Se asociaban con anorexia y una pérdida de peso de 4kg. La TC repetida de tórax (fig. 3) demostró el colapso completo del LII que contenía un quiste lleno de líquido, colapsado (flecha negra). También se observó una masa en la región hiliar izquierda con la pérdida de los planos de grasa en la aorta descendente. En la BFO (vídeo 1) se observó una proliferación en el bronquio principal izquierdo a 4cm de la carina que ocluía por completo el bronquio principal del LII. En la biopsia endobronquial se demostró la presencia de un carcinoma de células escamosas (fig. 4). Más tarde, el paciente recibió 4 ciclos de quimioterapia con docetaxel y cisplatino, seguidos de radioterapia torácica (secuencial) como tratamiento combinado para un cáncer de pulmón no microcítico en estadio IIIB. Más adelante se demostró la progresión de la enfermedad, y falleció alrededor de 10 meses después del diagnóstico.
Los quistes de pulmón son una anomalía radiológica frecuente detectada por médicos de cabecera, neumólogos y radiólogos. Las causas poco habituales de quistes pulmonares incluyen las infecciones, como la tuberculosis pulmonar (tanto las formas activas como curadas)6,7, las enfermedades pulmonares no infecciosas, como la leiomiomatosis pulmonar8, al igual que los tumores no broncogénicos9,10. El carcinoma broncogénico o los tipos histológicos típicos de cáncer de pulmón se asocian rara vez con la presencia de quistes11. Previamente hemos descrito un caso en el que el cáncer de pulmón se presentó con un perfil clínico radiológico sugestivo de hidatidosis pulmonar, una parasitosis benigna12. En general, el cáncer de pulmón de localización central tiene tendencia a presentarse con un colapso pulmonar segmentario, lobar o completo, pero rara vez se ha descrito como causa de la formación de un quiste4,5.
Se han propuesto diversos mecanismos diferentes en relación con la incidencia de un quiste de pared fina asociado a carcinoma pulmonar, incluida la presencia de un mecanismo de válvula como consecuencia de la estenosis del bronquio proximal por el tumor (crecimiento), la extensión de las células tumorales a lo largo de las paredes alveolares, la excreción del contenido licuado del centro del tumor que ha experimentado la necrosis isquémica, y un tumor que se origina de la pared de un quiste pulmonar preexistente5,13.
Es importante destacar que la obstrucción del bronquio principal afectado sólo se asocia con un mecanismo de válvula cuando es incompleta, como en este contexto, dando lugar a un atrapamiento aéreo y a la consiguiente formación de un quiste pulmonar. También se ha descrito un mecanismo de válvula para la formación de quistes en otras enfermedades no malignas del pulmón6,7.
En el caso índice, la presencia de una radiografía de tórax normal 2 años antes de la enfermedad actual, la disminución generalizada de la atenuación del parénquima pulmonar circundante al quiste en la TC inicial de tórax y, más tarde, la presencia de un tumor que ocluía por completo el bronquio principal del LII asociado a su colapso completo respaldan la hipótesis de un componente valvular como mecanismo principal de la formación del quiste. Aunque la radiografía de tórax previa obtenida cuando el paciente se encontraba asintomático 2 años atrás no estaba disponible, se documentó que era normal y, por lo tanto, si hubiera estado presente en aquel momento, es poco probable que se hubiera pasado por alto una lesión quística como la observada en la radiografía de tórax obtenida durante la presentación actual. De forma parecida, el curso temporal de acontecimientos en este paciente (perdido para el seguimiento durante un período de 2 meses) fue de tales características que no pudo efectuarse la BFO durante la presentación inicial cuando empezó la valoración del quiste del LII. Es probable que hubiera demostrado una obstrucción incompleta del bronquio principal del LII y que hubiera proporcionado la base para una confirmación visual directa de la progresión endobronquial del proceso con el tiempo, ya que podría haberse comparado con la obstrucción endobronquial actual. No obstante, también es posible que en el caso de que se hubiera efectuado una BFO y, en consecuencia, se hubiera obtenido una biopsia endobronquial durante la presentación inicial del paciente, se hubiera establecido un diagnóstico más precozmente y por lo tanto posiblemente se habría prevenido la progresión hasta el colapso completo del LII.
Hasta lo que los autores conocen, el paciente descrito es el primer caso documentado en los estudios publicados en inglés en el que, como consecuencia de un mecanismo de válvula, un quiste pulmonar había «desaparecido» a medida que progresó la obstrucción bronquial desde incompleta a completa. Más adelante, el quiste dejó de ser visible radiológicamente cuando la lesión, junto con su contenido, se convirtió en parte del LII atelectásico.
El aspecto didáctico de este caso es que, entre grandes fumadores con una hemoptisis de inicio reciente, la visualización de un quiste solitario en la radiografía de tórax, una lesión que en general se considera de naturaleza benigna, de hecho puede reflejar la presencia de obstrucción endobronquial debida a un cáncer de pulmón. Por lo tanto, es necesario un elevado índice de sospecha por parte de los médicos que pueden abordar un contexto de estas características en algún momento del ejercicio de su profesión. Si no se diagnostica y trata durante la presentación inicial, en último término puede progresar hasta una atelectasia completa del lóbulo/pulmón afectado, como se observó en el paciente índice. Además, esto puede propiciar que el diagnóstico se establezca con una enfermedad no resecable, avanzada, como ocurrió en este paciente, lo que, en último término, puede afectar al pronóstico.
Conflicto de interesesNo se ha declarado ningún conflicto de intereses.











