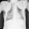
Presentamos el caso de un paciente varón de 87 años, con antecedentes de tuberculosis pulmonar en su juventud, que se trató con colapsoterapia bilateral con aceite (oleotórax)1, que provocó con el desarrollo de los años una alteración ventilatoria restrictiva con insuficiencia respiratoria hipercápnica. Precisó varios ingresos hospitalarios hasta iniciar ventilación no invasora2 durante el sueño. El paciente ha permanecido en seguimiento en nuestras consultas con buen cumplimiento terapéutico y escasas descompensaciones.
Los procedimientos quirúrgicos utilizados para el tratamiento de la tuberculosis se dividen en la actuación directa sobre las lesiones pulmonares (exéresis o cavernostomía) y los métodos que buscan el colapso de las cavernas del vértice pulmonar. Entre estos últimos cabe citar la toracoplastia, que consiste en estrechar la pared torácica mediante la resección de varios segmentos costales, la frenicoparálisis y la introducción de aire (neumotórax) o aceite (oleotórax) en la cavidad pleural o en el espacio extrapleural.
La cirugía de la tuberculosis tuvo un gran auge desde finales del siglo XIX hasta mediados del siglo XX, momento en el que el desarrollo de los fármacos antituberculosos y sus combinaciones marginaron estas técnicas (fig. 1).








