Introducción
Las neumonías intersticiales idiopáticas (NII) comprenden un grupo de entidades clinicopatológicas que afectan de forma difusa al parénquima pulmonar. Son un grupo heterogéneo de enfermedades pulmonares, que se caracterizan por la presencia de diferentes grados de inflamación y fibrosis del parénquima pulmonar de etiología desconocida. Se clasifican en diferentes entidades que presentan una serie de características específicas. Estas características incluyen presentación clínica, patrón radiológico, patrón histológico, respuesta al tratamiento y pronóstico.
En 2002 el consenso entre la American Thoracic Society (ATS) y la European Respiratory Society (ERS)1 unificó, mediante una descripción clínica, radiológica e histológica, las características de las diferentes entidades que conforman el grupo de las NII. A pesar de este amplio consenso, continúa habiendo entidades de las que no disponemos de una definición clara, como la neumonía intersticial no específica, e incluso ciertas neumonías intersticiales que no pueden encuadrarse en ninguno de los patrones descritos1. Hay además otras entidades no incluidas en este consenso, ya que se describieron posteriormente; es el caso de la neumonía intersticial bronquiolocéntrica idiopática2.
Se presenta el caso de una mujer de 37 años con NII, a cuyo diagnóstico se llegó mediante la realización de una videotoracoscopia.
Observación clínica
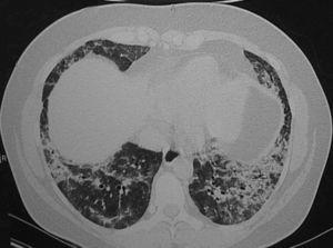
Mujer de 37 años, que ingresó en nuestro servicio por presentar disnea. Era exfumadora de 5 años-paquete y no presentaba ningún otro antecedente patológico de interés. Trabajaba de ama de casa y realizaba alguna tarea en agricultura (cerezos y almendros), pero sin contacto con insecticidas. No presentaba ningún antecedente familiar de interés ni seguía ningún tipo de medicación habitual. Refería contacto con perros, gatos y palomos. Un mes antes del ingreso había comenzado con disnea, que fue progresiva hasta convertirse en disnea de mínimos esfuerzos, sin ningún otro síntoma. En la exploración física destacó la presencia de crepitantes tipo velcro en el tercio inferior de ambos campos pulmonares; el resto fue normal. En la radiografía de tórax se observó un patrón intersticial de predominio en campos inferiores y distribución periférica. La analítica sanguínea mostró una velocidad de sedimentación globular de 37 mm/h; el resto de los parámetros fue normal, incluidos gasometría arterial, enzima conversiva de la angiotensina, hormonas tiroideas, anticuerpo antinuclear y factor reumatoide. Las serologías para los virus de la inmunodeficiencia humana y de la hepatitis C y B fueron negativas, al igual que las precipitinas para antígeno de paloma. La exploración funcional respiratoria mostró los siguientes datos: capacidad vital forzada (FVC) de 1.810 ml (47%), volumen espiratorio forzado en el primer segundo (FEV1) de 1.740 ml, FEV1%/FVC del 116% del teórico, capacidad pulmonar total (TLC) de 2.990 ml (58%), volumen residual (RV) de 930 ml, RV%/TLC del 97% del teórico, capacidad de difusión de monóxido de carbono del 34% del teórico y capacidad de difusión de monóxido de carbono ajustada al volumen alveolar del 70% del teórico. Se realizó una tomografía computarizada de alta resolución (fig. 1), que mostró áreas de vidrio deslustrado, parcheadas con engrosamiento de los septos interlobulillares, y áreas de condensación focal irregulares. Se realizó asimismo una fibrobroncoscopia con lavado broncoalveolar en el lóbulo medio y tomas de biopsia transbronquial a través del bronquio segmentario 8 derecho. En el lavado broncoalveolar se encontraron 400 células/μl (un 90% macrófagos, un 6% linfocitos, un 4% polimorfonucleares y un 0% eosinófilos; subpoblaciones de linfocitos: un 14% CD4 y un 79% CD8). El cultivo para gérmenes habituales y el cultivo de Löwenstein fueron negativos, y la citología no mostró evidencia de malignidad. La biopsia mostró una alteración de la arquitectura por fibrosis de densidad celular variable y un leve componente plasmocítico acompañante, sin observarse focos fibroblásticos. Tras la realización de estas pruebas se descartó la presencia de fibrosis pulmonar idiopática, por lo que se decidió iniciar tratamiento con prednisona a dosis de 2 mg/kg de peso y realizar una biopsia pulmonar por videotoracoscopia. La pieza pulmonar mostró una metaplasia peribronquiolar con leve fibrosis e infiltrado inflamatorio mononuclear, con arquitectura pulmonar conservada, sin granulomas, fibrosis, inflamación alveolointersticial ni cuerpos extraños (fig. 2). El diagnóstico final fue de neumonía intersticial bronquiolocéntrica idiopática.
Fig. 1. Tomografía computarizada de alta resolución, donde se observa la presencia de áreas de vidrio deslustrado, parcheadas con engrosamiento de los septos interlobulillares, y áreas irregulares de condensación focal.
Fig. 2. Neumonía intersticial bronquiolocéntrica idiopática. Metaplasia peribronquiolar, con leve fibrosis e infiltrado inflamatorio mononuclear. La arquitectura pulmonar está conservada. (Hematoxilina-eosina, ×40.)
La paciente ha seguido tratamiento con azatioprina durante un año sin que se hayan observado cambios en los síntomas, en el patrón funcional respiratorio ni en la afectación radiográfica.
Discusión
Las NII son procesos inflamatorios del parénquima pulmonar de etiología desconocida, que se diferencian por el patrón histológico, la distribución de la enfermedad en el pulmón, el compartimiento lobular primariamente afectado, el grado de madurez de la fibrosis intersticial y la presencia de ciertos hallazgos histológicos característicos, como granulomas o la ocupación de los alvéolos por macrófagos. Dentro de las NII descritas en el consenso entre ATS y ERS1, sólo la bronquiolitis asociada a enfermedad pulmonar intersticial tiene una distribución predominantemente bronquiolocéntrica. En fechas recientes varios autores han descrito una nueva neumonía intersticial de afectación predominantemente bronquiolocéntrica y sin granulomas2-5. Yousem y Dacic2 describieron las características de 10 pacientes en quienes el patrón histológico se caracterizó por un infiltrado celular inflamatorio crónico de origen centrolobular y bronquiolocéntrico; las pequeñas vías aéreas presentaron un infiltrado de linfocitos y células plasmáticas, que se extendió entre los septos alveolares peribronquiales y entre el espacio intersticial del acino, con presencia de fibrosis y/o metaplasia peribronquial. En su serie encontraron una mayor proporción de mujeres; en las radiografías se observó un infiltrado intersticial de predominio en campos inferiores, y en la exploración funcional se halló un patrón restrictivo con alteraciones en la difusión. Todos los pacientes siguieron tratamiento con corticoides y/o inmunodepresores, y el pronóstico fue malo en la mayoría de los casos. Churg et al3 describieron una serie de 12 pacientes también con un predominio de mujeres y mal pronóstico. El patrón histológico fue similar al descrito por Yousem y Dacic2, pero con mayor fibrosis peribronquial y mayor engrosamiento del músculo bronquial. Fukuoka et al4 describieron un patrón histológico caracterizado fundamentalmente por la presencia de metaplasia peribronquiolar; varios de los pacientes incluidos en esta serie presentaron enfermedades reumatológicas que podrían ser la causa de la afectación pulmonar. La fibrosis centrilobular que describieron De Carvalho et al5 en su serie de 12 casos se caracterizó por la presencia de necrosis bronquial y fibrosis bronquiolocéntrica. En el 42% de los casos de esta serie se observó la presencia de cuerpos extraños, por lo que los autores señalaron que este patrón histológico es secundario a aspiración gástrica. Es posible que los diferentes patrones histológicos descritos por estos autores correspondan a una misma entidad en diferentes estadios de evolución; en ese caso, la metaplasia bronquiolar descrita por Fukuoka et al4 sería el estadio más leve, pasando por la neumonía bronquiolocéntrica idiopática descrita por Yousem y Dacic2, y como estadio con mayor grado de fibrosis, el patrón descrito por Churg et al3. En nuestra paciente los patrones radiológico, funcional e histológico, así como la evolución, fueron similares a los de los casos de neumonía intersticial bronquiolocéntrica descritos por Yousem y Dacic2.
En el estudio de las NII se deben excluir enfermedades que sean causa potencial de estos patrones de inflamación y fibrosis pulmonar. Especialmente debe descartarse la presencia de enfermedades autoinmunitarias, reacciones alérgicas o a fármacos, y neumonitis. En nuestro caso se descartó la presencia de enfermedades autoinmunitarias y las reacciones secundarias a fármacos, ya que la paciente no seguía ningún tratamiento farmacológico. En el caso de la neumonía intersticial bronquiolocéntrica idiopática el diagnóstico diferencial debe realizarse especialmente con la neumonitis por hipersensibilidad y la neumonía intersticial no específica. Nuestra paciente mantenía contacto con palomos, pero las precipitinas para antígeno de paloma fueron negativas y la paciente no mejoró tras abandonar el contacto. Por otra parte, el estudio histológico no evidenció la presencia de los granulomas característicos6,7 y necesarios para el diagnóstico en opinión de algunos autores8 de la neumonitis por hipersensibilidad.
La neumonía intersticial no específica se caracteriza por el buen pronóstico y la respuesta al tratamiento, y el patrón histológico se caracteriza porque no existe afectación bronquiolocéntrica9. Nuestra paciente no ha mejorado tras un año de tratamiento y el patrón histológico se caracterizó por una afectación predominantemente bronquiolocéntrica.
En conclusión, evaluados los patrones radiológico, funcional e histológico, así como la evolución, nuestra paciente presenta una neumonía intersticial bronquiolocéntrica idiopática.
Correspondencia: Dr. A. Muñoz.
Segura, 25, 3.º izqda. 03004 Alicante. España.
Correo electrónico: alejandro_mf@ono.com
Recibido: 11-6-2006; aceptado para su publicación: 2-8-2006.









