La neumonía lipoidea (NL) es una entidad infrecuente que se produce como consecuencia del depósito de materiales grasos en el tejido pulmonar, de origen exógeno o endógeno, y cuya incidencia se encuentra entre el 1 y el 2,5% según algunas series de autopsias1.
Presentamos el caso de un varón de 15años con los antecedentes personales previos de ictericia a los 4días de vida, convulsión febril al año y 4meses, síndrome escarlatiniforme a los 5años, exantema erisipeloide a los 7años y sinovitis de cadera. En seguimiento por el servicio de pediatría desde los 8años por retraso en el crecimiento y desarrollo, con episodios de tos y disnea de esfuerzo, fue diagnosticado de asma episódica leve, por lo que siguió tratamiento con montelukast y salbutamol de rescate, sin mejoría. Durante el estudio se realizaron las siguientes determinaciones, que fueron normales: ANA, C3, C4, CD3, Nk, IgE, eosinófilos, función granulocítica, inmunoglobulinas, TSH, estudio de celiaquía, test del sudor, rast para alimentos y prick. Ha tenido contacto con 2canarios desde edad temprana, y con pinturas en aerosol a los 11-12años (grafitis).
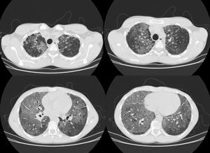
En el momento del ingreso en la unidad de neumología el paciente presentaba disnea basal gradoi-ii. A la exploración se apreciaba buena coloración de la piel y de las mucosas y acropaquías. La saturación basal de O2 era del 93% y la auscultación mostraba buen murmullo vesicular, sin ruidos sobreañadidos. La espirometría mostró FEV1: 44%, FVC: 47%, FEV1/FVC:79, MMEF:29%, si bien la colaboración del paciente fue incompleta. La radiografía de tórax mostraba extenso patrón alveolointersticial bilateral con afectación multilobar. Durante la hospitalización se completó con tomografía computarizada de alta resolución (TACAR), en la que se observó marcada alteración del parénquima pulmonar, con extensas áreas en vidrio deslustrado distribuidas por todos los lóbulos aunque con predomino basal, sobre el que se superponía engrosamiento septal, conformando un patrón en empedrado o crazy-paving (fig. 1). Además se apreciaban áreas de panalización en el parénquima pulmonar subpleural a nivel de ambos lóbulos superiores, aunque de predominio derecho.
Tras los hallazgos se realizó biopsia transbroquial, en la que se apreció a nivel del intersticio y luces alveolares células gigantes de tipo cuerpo extraño fagocitando cristales de colesterol así como macrófagos, aislados y en acúmulos, de citoplasma microvacuolado. Presencia ocasional en luces alveolares de un material eosinófilo, pseudoproteináceo, PAS y rojo Congo negativo. No se apreciaron microorganismos. Hallazgos histológicos compatibles con NL.
En la actualidad el paciente mantiene un tratamiento con corticoides orales e inhalados, con lo que se ha conseguido una mejoría clínica, si bien los hallazgos radiológicos no han mostrado variación.
Ante la ausencia de uso habitual de laxantes, bálsamos, aceites u otros lubricantes, se deben valorar las causas de neumonía endógena1, como la obstrucción bronquial producida por una neoplasia pulmonar (claramente descartada en nuestro caso), episodios repetitivos de infección respiratoria por hongos (no consta en los antecedentes personales ni existen datos histológicos ni analíticos que lo sugieran), proteinosis alveolar (descartada por la anatomía patológica) y la enfermedad de Niemann-Pick (principalmente el tipoB), en la que también se ha descrito el patrón en empedrado2, si bien el paciente no ha mostrado hepatoesplenomegalia o alteración analítica que sugiera tal posibilidad. De esta manera, ante la ausencia de cauda identificable, este caso debe ser catalogado de NL idiopática3.
Los hallazgos radiológicos en TACAR más frecuentes en la NL son4,5: presencia de condensación de bajo coeficiente de atenuación (entre –75 y –35UH), muy específica y frecuente en la NL endógena1, opacidades en vidrio deslustrado, patrón en empedrado (crazy-paving) y presencia de opacidades centrolobulillares. Además, en ella la afectación pulmonar tiene un predominio basal4.
El patrón en empedrado se describió inicialmente en la proteinosis alveolar4, si bien posteriormente se ha comprobado que puede aparecer en multitud de procesos, como en la sarcoidosis, la neumonía intersticial no específica, la neumonía organizada (tanto en la neumonía organizada criptogenética como en la bronquiolitis obliterante con neumonía organizada), infecciones pulmonares (principalmente víricas y por micoplasma), neoplasias como el carcinoma bronquioalveolar, la hemorragia, el edema pulmonar y la NL.
Conflicto de interesesNinguno de los autores firmantes del manuscrito tiene conflicto de intereses relacionados con él.








