Sr. Director: La granulomatosis broncocéntrica (GB) se considera un proceso histopatológico que generalmente sucede como respuesta no específica a lesiones del árbol respiratorio. Aproximadamente la mitad de los casos se asocian con asma y aspergilosis broncopulmonar alérgica (ABPA)1; sin embargo, en ocasiones no se evidencian afecciones causantes que pudieran originar la aparición de esta entidad.
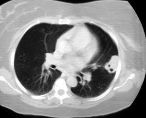
Se presenta el caso de una paciente de 49 años de edad, con antecedentes personales de miomas uterinos, plastia mamaria bilateral 4 años antes y ex fumadora de 15 cigarrillos-día desde hacía 6 meses, que ingresó porque en el estudio preoperatorio para miomectomía uterina se había descubierto en la radiografía de tórax un nódulo pulmonar solitario de 2 cm de diámetro. La paciente se encontraba asintomática desde el punto de vista respiratorio y en la exploración física no se evidenciaron hallazgos patológicos. Las pruebas analíticas no mostraron alteraciones y en la radiografía de tórax destacó la existencia del nódulo pulmonar ya reseñado, de posible asiento en la língula. En la tomografía computarizada se objetivó que dicho nódulo pulmonar medía aproximadamente 2 cm de diámetro, se encontraba cavitado y en íntimo contacto con la pared torácica (fig. 1). La fibrobroncoscopia efectuada fue normal y los resultados obtenidos en dicha exploración no evidenciaron malignidad. Posteriormente se llevó a cabo una punción aspirativa con aguja fina guiada por tomografía computarizada, cuyo resultado fue también negativo para citología y microbiología. Las pruebas funcionales respiratorias, así como la gasometría arterial, fueron normales. Se decidió realizar una toracotomía posterolateral izquierda con resección del segmento afectado. La anatomía patológica de la lesión demostró que se trataba de una GB con intenso componente linfoide y eosinofílico, sin vasculitis apreciable; se realizaron varios tipos de tinciones (Zielh, ácido paraaminosalicílico, plata metanamina), así como diversas técnicas de inmunohistoquímica, sin encontrarse hallazgos relevantes en ellas.
Fig. 1. Nódulo pulmonar subpleural en el lóbulo superior izquierdo, con aparentes imágenes de cavitación en su interior.
Desde que en 1973 Liebow describió la GB2, con el paso del tiempo se han encontrado diversos agentes etiológicos relacionados con este proceso, entre los que figuran el asma, la ABPA3, el carcinoma broncogénico4, las enfermedades granulomatosas, las infecciones por bacterias, virus o parásitos. Sin embargo, se encuentran descritos en la bibliografía casos en los que no se identifica ninguna de estas entidades supuestamente causales5, como en el presente caso, por lo que podemos considerarlo un proceso también de etiología idiopática. Este hecho nos lleva plantear la posibilidad de una susceptibilidad individual por parte de los pacientes que les hace reaccionar de esta manera ante la presencia de diversos estímulos (infecciosos, tumorales, inmunológicos), algunos de los cuales todavía no se conocen.
La GB, aunque infrecuente, se incluye dentro del posible diagnóstico diferencial del nódulo pulmonar solitario. La presencia de cavitación6, como demuestra el caso que exponemos, no excluye dicho diagnóstico, aunque la primera sospecha diagnóstica debe ser las enfermedades infecciosas o tumorales.








