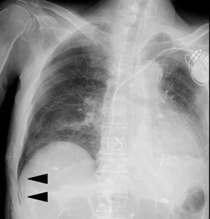
An 82-year-old man with an 81 pack-year smoking history underwent follow-up at our hospital for malignant lymphoma and chronic heart failure. He complained of dyspnea and was admitted to our hospital. He had emphysema, had previously undergone resection for cancer in the left lung, and was now diagnosed with right pneumothorax, exacerbation of heart failure, and CO2 narcosis. Artificial breathing management was performed, which continued for 3 days, and a chest tube was placed. Pneumothorax improved and air leakage disappeared; one day later, clamp test of the chest tube was done. However, a few days later, the deep sulcus sign was detected in his chest X-ray image (Fig. 1). Thus, we decided to continue chest drainage.
The deep sulcus sign on the chest X-ray image obtained in the supine position is an indicator of pneumothorax.1 In the reported patient, a narrow, sharp, and black air line forward to the abdominal region at the right costophrenic angle was observed, owing to the presence of air outside the lung and in the anterior and basal regions of the thoracic cavity in the supine position. Hyperaeration of the lungs may result in this sign falsely appearing in chest X-ray images of patients with chronic obstructive pulmonary disease. Nonetheless, identification of the deep sulcus sign on chest X-ray images obtained in the supine position can be useful for early diagnosis of pneumothorax.
FundingThis research did not receive any specific grant from funding agencies in the public, commercial, or not-for-profit sectors.








