Sr. Director: Las metástasis de intestino delgado del carcinoma primitivo de pulmón no son excepcionales, pero sus manifestaciones clínicas son raras. Cuando éstas se producen, pueden causar hemorragia, malabsorción o perforación intestinal, aunque la más frecuente es la obstrucción intestinal. El pronóstico de estos pacientes es muy malo y su supervivencia raramente supera las 16 semanas1. En un período de 5 años se diagnosticaron en nuestro hospital 420 casos de carcinoma de pulmón, de los que sólo 3 presentaron metástasis de intestino delgado. Un paciente comenzó con clínica de angina mesentérica y en los otros 2 casos fue un hallazgo casual al hacer el estudio de extensión de la neoplasia pulmonar.
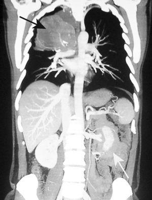
Caso 1. Varón de 65 años, fumador de 40 paquetes-año, que acudió a urgencias por un dolor abdominal intenso que empeoraba tras las comidas. Se evidenció un aumento de la lactatodeshidrogenasa y, ante la sospecha de isquemia mesentérica, se realizó una tomografía computarizada (TC) abdominopélvica con contraste intravenoso, que mostró una masa en yeyuno proximal con una cavidad anfractuosa y contenido hidroaéreo en su interior. La punción aspirativa con aguja fina (PAAF) guiada con TC identificó un carcinoma neuroendocrino, con resultado negativo para citoqueratinas de amplio espectro AE1-AE2. En la radiografía de tórax se encontró una masa de 5 cm en el segmento posterior del lóbulo superior derecho, así como un aumento de tamaño de contorno polilobulado del hilio pulmonar derecho, hallazgos indicativos de carcinoma primitivo de pulmón con afectación ganglionar hiliar homolateral, que se confirmaron con una TC de tórax-abdomen con contraste intravenoso (fig. 1) y una PAAF guiada por TC, que aportó el mismo diagnóstico citológico que la masa yeyunal. El paciente recibió quimioterapia y presentó una buena respuesta inicial, con posterior recaída y progresión de las lesiones pulmonares e intestinales.
Fig. 1. Reconstrucción coronal tras estudio de tórax, abdomen y pelvis con contraste intravenoso utilizando un equipo de tomografía computarizada de 64 detectores. Se observan una masa en el lóbulo superior derecho (flecha negra) y un engrosamiento de asas de intestino delgado (flecha blanca), debido a un carcinoma primitivo de pulmón neuroendocrino con metástasis intestinales.
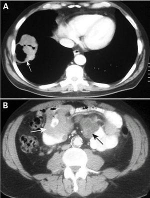
Caso 2. Varón de 60 años con enfermedad pulmonar obstructiva crónica (EPOC), en el que, en el preoperatorio de un neuroma de Morton, se identificó una masa en la base del pulmón derecho y un aumento del tamaño del hilio homolateral de contorno lobulado. Una TC de tórax-abdomen con contraste mostró una masa cavitada en el lóbulo inferior derecho, con adenomegalias hiliares homolaterales, y un engrosamiento de la pared de las asas de yeyuno con crecimiento excéntrico y adenomegalias mesentéricas. Las citologías del pulmón y de la lesión intestinal, obtenidas mediante PAAF guiadas con TC, fueron indicativas de un carcinoma indiferenciado de células grandes (fig. 2). El paciente desarrolló melenas, por lo que se realizó una resección de la masa intestinal con anastomosis término-terminal, cuyo estudio anatomopatológico posterior confirmó el origen pulmonar de las lesiones.
Fig. 2. Imagen de tomografía axial computarizada (TC), con contraste intravenoso, de los lóbulos inferiores(A), donde se observa una masa sólida cavitada en el lóbulo inferior derecho (flecha blanca). En la imagen de TC con contraste intravenoso de la cavidad abdominal inferior (B), se observan un engrosamiento de asas del intestino delgado (flecha blanca) y adenopa-tías mesentéricas (flecha negra), hallazgos en relación con metástasis de un carcinoma primitivo de pulmón de células grandes indiferenciado.
Caso 3. Varón de 47 años, fumador, con hepatopatía crónica, que ingresó por un síndrome de vena cava superior. La TC de tórax-abdomen con contraste intravenoso evidenció una masa sólida de contorno lobulado, con áreas de necrosis y captación heterogénea de contraste en el lóbulo superior derecho, con gran afectación ganglionar mediastínica que infiltraba las arterias pulmonares homolaterales y comprimía sin trombosar la vena cava superior, con desarrollo de circulación colateral. Además, se observaban varios nódulos en el pulmón derecho y una masa suprarrenal derecha de 8 cm, indicativos de metástasis. El resultado de la PAAF guiada por TC fue de carcinoma indiferenciado de células grandes. Se realizó tratamiento con prótesis de Wallstent y radioterapia, pero el paciente presentó un abdomen agudo. En el acto quirúrgico se encontraron una tumoración perforada de yeyuno y carcinomatosis peritoneal, por lo que se llevó a cabo una resección de la tumoración y anastomosis término-terminal, con evolución favorable en el postoperatorio. El estudio patológico confirmó el origen pulmonar de la lesiones.
El carcinoma primitivo de pulmón es la causa de muerte más frecuente por neoplasia en varones en los países occidentales2. Alrededor de la mitad de los casos presenta metástasis en el momento del diagnóstico, siendo más frecuentes en cerebro, hueso, hígado, suprarrenales y ganglios linfáticos. El esófago, por extensión directa, es la región del tubo digestivo que más se afecta1, mientras que las metástasis del intestino delgado, aunque raras, son más comunes de lo que se pensó en un principio. Tras revisar 431 autopsias de cáncer de pulmón, McNeill et al3 sólo encontraron 46 casos con metástasis en intestino delgado, de los que únicamente 6 habían presentado síntomas previos. De Castro et al4 publicaron 51 casos de metástasis intestinales durante un período de 49 años, de los cuales sólo una era por carcinoma de pulmón, siendo la mayoría de riñón y cérvix. En los 129 casos de metástasis del intestino delgado descritos por Ushio et al5, sólo 10 tuvieron un origen pulmonar. En una serie de 1.544 pacientes con cáncer de pulmón evaluados durante un período de 12 años, Berger et al6 sólo hallaron a 6 que desarrollaron síntomas clínicos por metástasis de intestino delgado.
Nosotros hemos revisado un total de 420 casos de cáncer de pulmón diagnosticados en nuestro hospital en los últimos 5 años, en los que sólo hemos encontrado 3 casos con metástasis intestinales (0,71%), de los cuales 2 presentaron síntomas digestivos. Aunque los 3 casos comenzaron con metástasis intestinales, sólo en uno se realizó primero el diagnóstico de la masa intestinal y, en segundo lugar, el de la neoplasia pulmonar. El yeyuno es la localización más frecuente de las metástasis de carcinoma de pulmón en intestino delga-do5, como ocurrió en nuestra serie.
La resección quirúrgica está indicada en ausencia de otras metástasis o como tratamiento paliativo en presencia de hemorragia grave, obstrucción o perforación. Mejora la supervivencia, aunque ésta raramente excede las 16 semanas. Rauhanimanesh et al8 describen un caso con una supervivencia de 17 meses, y Berger et al6, de 22 meses. Nuestro primer caso continúa vivo, con una supervivencia actual de 11 meses, mientras que el segundo y el tercero tuvieron una supervivencia de 3 y 4 meses, respectivamente.
Por lo tanto, ante la presencia de una anemia ferropénica en un paciente con cáncer de pulmón no debemos olvidar las metástasis intestinales como una de las posibles causas de la hemorragia.









