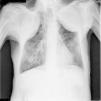
We report the case of an 87-year-old man, with a history of pulmonary tuberculosis in his youth, treated at the time with bilateral collapse therapy with oil (oleothorax).1 Over the years, this produced restrictive ventilatory changes with hypercapnic respiratory failure. He was hospitalized several times until he started nocturnal non-invasive ventilation.2 The patient continues to be monitored in our clinics. Therapeutic compliance is good and decompensations are rare.
Surgical procedures for the treatment of tuberculous lesions are divided into those intervening directly on the pulmonary lesions (exeresis or cavernostomy), and methods which induce the collapse of the cavities in the apex of the lung. Collapse procedures include thoracoplasty, which consists of narrowing the chest wall with the resection of several rib segments, paralysis of the diaphragm, and the introduction of air (pneumothorax) or oil (oleothorax) in the pleural cavity or the extrapleural space.
Surgical intervention in tuberculosis had its heyday between the end of the 19th century and the middle of the 20th, but was ultimately sidelined by the development of antituberculous drugs and combinations (Fig. 1).
Please cite this article as: López Riolobos C, Zamora García E, García Castillo E. Oleotórax bilateral. Arch Bronconeumol. 2016;52:218.








