Presentamos el caso de una mujer de 88 años con antecedentes de estenosis-trombosis idiopática de la vena esplénica, hipertensión portal y várices fúndicas. Ingresó por una hemorragia digestiva alta con repercusión analítica y se realizó una gastroscopia encontrando várices fúndicas, sin punto de sangrado. Se programó ecoendoscopia terapéutica y se realizó inyección intravaricial de cianoacrilato/lipiodol.
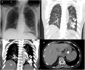
Tras el procedimiento, la paciente comenzó con febrícula, solicitándose una radiografía de tórax (fig. 1a), en la que se objetivaron varias imágenes nodulares hiperdensas en campos medio e inferior izquierdo y en cámara gástrica. Se amplió el estudio con tomografía computarizada (TC) torácica (fig. 1b-c), que confirmó múltiples imágenes de alta densidad en pulmón izquierdo. En la fig. 1d se muestra el contenido hiperdenso en el interior del estómago. Se estableció el diagnóstico de broncoaspiración del material de embolización.
(a) Radiografía de tórax PA. Múltiples opacidades nodulares de alta densidad en campos medio e inferior izquierdo y en epigastrio. (b) TC torácico con contraste reconstrucción MIP. Material de embolización hiperdenso extravascular en campo medio e inferior izquierdo. (c) TC torácico con contraste reconstrucción MIP. Material de embolización hiperdenso bilateral en lóbulo inferior izquierdo, de mayor tamaño que los vasos pulmonares. (d) Material de embolización en el interior del estómago.
Las complicaciones tras el tratamiento de várices gástricas con cianoacrilato/lipiodol son bien conocidas, habiéndose descrito varios casos de embolismo pulmonar1,2. En nuestro caso, el diagnóstico más probable es la broncoaspiración, dado que la paciente presenta restos radiopacos en cámara gástrica, afectación principalmente izquierda (la endoscopia digestiva se realiza en decúbito lateral izquierdo), tamaño de las lesiones mayor que los vasos y correspondencia con el trayecto bronquial.
FinanciaciónEste trabajo no ha recibido ningún tipo de financiación.
Conflicto de interesesLos autores declaran no tener ningún conflicto de intereses.








