Suggestions
Guide for authors
Searcher
Journal Information
Vol. 57. Issue 9.
Pages 563-616 (September 2021)
Vol. 57. Issue 9.
Pages 563-616 (September 2021)
Clinical Image
Full text access

Unusual Cause of Bronchial Obstruction: Tracheobronchial Amyloidosis

Una causa poco frecuente de obstrucción bronquial: amiloidosis traqueobronquial
Visits
3097
Veysel Ayyildiza, Yener Aydinb, Hayri Ogulc,
Corresponding author
drhogul@gmail.com

Corresponding author.
a Department of Radiology, Medical Faculty, Suleyman Demirel University, Isparta, Turkey
b Thoracic Surgery, Medical Faculty, Ataturk University, Erzurum, Turkey
c Department of Radiology, Medical Faculty, Ataturk University, Erzurum, Turkey
This item has received
Article information
Full Text
Bibliography
Download PDF
Statistics
Figures (2)
fig0005
fig0010
Full Text

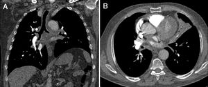
A 60-year-old male presented with complaints of chronic cough, occasional mucus secretion, and dyspnea. Coronal CT scans revealed diffuse thickened tracheobronchial wall (Fig. 1A). Axial CT scan showed atelectasi in the lingular segment of the left upper lobe (Fig. 1B). Three-dimensional volume-rendered air-specific coronal plan MDCT image (Fig. 2A) and virtual CT bronchoscopy (Fig. 2B) demonstrated obstruction of the left main bronchus. Bronchoscopic biopsy diagnosed diffuse tracheobronchial amyloidosis.

Fig. 1.

(A) Post-contrast coronal CT scan reveals diffuse thickened tracheobronchial wall. (B) Axial CT scan shows atelectasi in the lingular segment of the left upper lobe.

Fig. 2.

Three-dimensional volume-rendered air-specific coronal plan MDCT image (A) and virtual CT bronchoscopy (B) demonstrate obstruction (frame and arrow) of the left main bronchus.

Primary tracheobronchial amyloidosis has rarely been reported in the literature.1,2 There is no relationship between endobronchial amyloidosis and systemic amyloidosis.1 The endobronchial involvement can mimic a tumoral lesion. Although it is very rare, tracheobronchial amyloidosis should be considered in case of bronchial obstruction.

References
[1]
A. Lal, J. Akhtar, M.S. Khan, Y. Chen, Y. Goldman.
Primary endobronchial amyloidosis: a rare case of endobronchial tumor.
Respir Med Case Rep, 23 (2018), pp. 163-166
[2]
J. Berraondo, L. Novella, F. Sanz, R. Lluch, E. de Casimiro, T. Lloret.
Management of tracheobronchial amyloidosis with therapeutic bronchoscopic techniques.
Arch Bronconeumol, 49 (2013), pp. 207-209
Copyright © 2020. SEPAR
Download PDF
Archivos de Bronconeumología
Article options
Tools