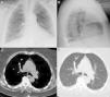
Mujer de 76 años, intervenida 2 años antes por estenosis del canal lumbar quedando con desequilibrio sagital y seudoartrosis lumbar. Ingresó para realización de artrodesis de T10 a S1, con vertebroplastia percutánea de L3. Seis horas después de la cirugía comenzó con disnea, taquipnea e hipoxemia. En la radiografía de tórax (fig. 1A y B) se evidenció un material denso ramificado en campo pulmonar superior, medio e inferior derechos, y en campo medio izquierdo. En la tomografía computarizada (TC) torácica (fig. 1C y D) dicho material ocupaba arterias segmentarias del lóbulo superior, medio e inferior derechos, y del lóbulo superior izquierdo, siendo diagnosticada de embolismo pulmonar por cemento (polimetilmetacrilato). Precisó oxigenoterapia de alto flujo las primeras 24h pudiendo disminuir el aporte de oxígeno hasta su retirada los días siguientes. El embolismo pulmonar por cemento es una potencial complicación tras la realización de una vertebroplastia percutánea, debido a la extravasación del cemento inyectado en la vértebra hacia el sistema venoso paravertebral desde donde puede alcanzar las arterias pulmonares1,2. En los casos asintomáticos o de embolismo periférico se recomienda observación, dejando la terapia anticoagulante, e incluso la embolectomía, para los casos sintomáticos o de embolismo central2.
Radiografía de tórax posteroanterior (A) y lateral (B) con material denso ramificado, en relación con émbolos de cemento, en campo pulmonar superior, medio e inferior derechos, y en campo medio izquierdo. En el corte transversal de la TC torácica (C y D), el mismo material ocupa arterias segmentarias del lóbulo superior derecho.
 
										
				



 
 
		




