Presentamos el caso de una mujer de 50 años, exfumadora y sin enfermedades de interés que acudió a urgencias por sensación de distensión abdominal e hiporexia de 2 meses de evolución. Refería tos seca y molestias en hipogastrio intermitentes, con pérdida de 2kg de peso en este tiempo, sin otra clínica acompañante. En la exploración física impresionaba de ascitis y presentaba en la radiografía de tórax un derrame pleural derecho.
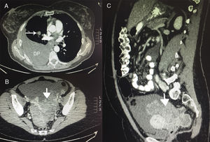
En la TAC toraco-abdomino-pélvica (fig. 1) se objetivó una masa sólida y heterogénea de 13,7×8×5,4cm en la cavidad pélvica, que rechazaba útero y recto, compatible con una neoformación ovárica, además del derrame pleural, 3 nódulos pulmonares y otros en la grasa paracardiaca derecha, ascitis e implantes nodulares compatibles con carcinomatosis peritoneal, afectación metastásica en 3 arcos costales derechos y otra lesión hepática compatible con metástasis. El diagnóstico de presunción radiológico era de una neoplasia de ovario con diseminación abdominal y torácica.
TAC del tumor de Krukenberg. A) Corte axial de la TAC a nivel del tórax donde se observa el derrame pleural (DP) derecho y un nódulo pulmonar parahiliar derecho. B) Corte axial de la TAC a nivel de pelvis donde se observa la masa pélvica. C) Corte sagital de la TAC donde se visualiza la masa pélvica.
En los estudios anatomopatológicos realizados, la citología del derrame pleural contenía células sospechosas de malignidad, y la del líquido ascítico era compatible con metástasis de adenocarcinoma sugestivas de origen pulmonar por inmunohistoquímica (positivas para CK7, EMA, TTF-1, Napsin-A y CEA; p53 intensidad débil e irregular y es negativa para CK20, WT1, GATA3, CDX2, PAX8 y tiroglobulina). Tanto la citología del broncoaspirado como de la biopsia transbronquial de la broncoscopia fueron negativas. La biopsia guiada por TAC de la masa pélvica confirmó el origen pulmonar (positiva para CK7, TTF-1 y Napsin-A y de forma intensa pero focal para CEA y más débil y focal para p53; y negativa para CK20, PAX8, CDX-2, WT1 y RE) siendo el diagnóstico final compatible con un adenocarcinoma mucosecretor pobremente diferenciado con células en anillo de sello compatibles con un primario pulmonar (con KRAS no mutado y sin expresión de mutaciones EGFR, pero sí fue positiva la tinción ALK-1 por inmunohistoquímica y por FISH). Se concluyó por tanto, que el diagnóstico era un tumor de Krukenberg con origen en un adenocarcinoma de pulmón. Se realizaron toracocentesis y paracentesis evacuadoras para alivio sintomático durante el proceso diagnóstico. Actualmente la paciente está recibiendo tratamiento con crizotinib, con buena tolerancia al mismo. En la TAC de control presenta una clara mejoría radiológica. En ella se observa la práctica resolución del componente metastásico pleural y la disminución del derrame, la desaparición de la tumoración parahiliar derecha, sin aparición de nuevas lesiones en el parénquima pulmonar, y de los implantes en la grasa paracardiaca. En el abdomen no se visualiza la metástasis hepática, ha mejorado la ascitis y la carcinomatosis peritoneal. Sin embargo persisten la afectación ósea y la masa pélvica, si bien esta ha disminuido considerablemente de tamaño.
El tumor de Krukenberg es una metástasis maligna en ovario de un adenocarcinoma mucosecretor con células en anillo de sello que proviene generalmente de un tumor gastrointestinal y menos frecuentemente de otros orígenes. Representa el 1-2% de todos los tumores de ovario1,2. El 90% de los casos son tumores gástricos o colorrectales conjuntamente1. Otros orígenes menos frecuentes son mama, apéndice, intestino delgado o endometrio. El cáncer de pulmón es una causa rara de metástasis ovárica (apenas un 2-4% de los casos)3,4. De los tumores de pulmón que metastatizan en ovario, el de célula pequeña es el más frecuente (hasta en un 40-45% de las ocasiones)3-5. El mecanismo exacto de diseminación metastásica al ovario es desconocido1,6. El hallazgo histopatológico más frecuente es un adenocarcinoma con células mucosecretoras en anillo de sello. Clínicamente los pacientes pueden estar asintomáticos o con síntomas inespecíficos según la afectación del tumor1,2,6. Se puede observar ascitis hasta en el 39% de los casos6, como es el caso de nuestra paciente. A pesar de que hay estudios para averiguar cuál es el perfil inmunohistoquímico típico de este tipo de afectación, no hay una expresión definida por la gran variabilidad de patrones7. No obstante la Napsin-A es un marcador útil para distinguir los adenocarcinomas primarios de pulmón de los de otros órganos y, conjuntamente con el TTF-1, aumenta la sensibilidad y la especificidad para identificar el origen pulmonar en los adenocarcinomas metastásicos4. Tampoco hay una estrategia específica de tratamiento. Si se detecta el tumor primario se debe tratar de acuerdo a su histología y estadificación6. El pronóstico es malo por la naturaleza metastásica de la afectación con una media de supervivencia de 14 meses1.
En conclusión, presentamos el caso de un tumor de Krukenberg con origen en un adenocarcinoma de pulmón, una afectación muy rara de las neoplasias de pulmón, pero que se debe tener en cuenta al realizar el diagnóstico diferencial de las masas ováricas.








