El tumor fibroso solitario pleural (TFSP) es una entidad infrecuente, con unos 800 casos descritos en la literatura. Existen 2 variantes diferenciadas: la localizada que presenta comportamiento benigno y la forma difusa más infrecuente y que cursa con gran agresividad1,2. Puede aparecer a cualquier edad, aunque es más frecuente entre la sexta y séptima década de la vida. Debuta como una masa intratorácica pleomórfica, planteándose diagnóstico diferencial con lesiones pleuropulmonares benignas y malignas, siendo fundamental un buen diagnóstico histopatológico.
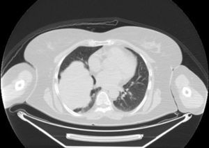
Presentamos el caso de una mujer de 55 años, no fumadora y sin antecedentes de interés, que consultó por dolor torácico tras traumatismo. En un primer momento se realizó una radiografía de tórax con hallazgo incidental de una tumoración pleuropulmonar derecha. La paciente no presentaba clínica respiratoria asociada con pruebas de función respiratoria normales. Se completó el estudio con una tomografía axial computarizada (TAC) de tórax, que mostró una tumoración del tercio inferior del hemitórax derecho en íntima relación con el diafragma y estructuras cardiomediastínicas (fig. 1), y con una punción con aguja fina que mostró tejido compatible con tumor mesenquimal de células fusiformes. Ante estos hallazgos, se optó por intervención quirúrgica, al considerarse el tratamiento estándar, realizando una extirpación completa de la tumoración. La anatomía patológica confirmó la presencia de un tumor fibroso solitario con áreas fusocelulares con elevado índice mitótico, importante pleomorfismo y elevada celularidad (cumpliendo los criterios de malignidad descritos por England et al.), y con positividad inmunohistoquímica para vimentina y CD343. Se desestimó tratamiento adyuvante debido a la baja quimiosensibilidad de esta estirpe tumoral y a los escasos datos al respecto. Se iniciaron revisiones normales hasta que un año después, en una TAC de control se observaron 2 lesiones nodulares muy próximas entre sí (18 y 13mm) con aspecto radiológico de malignidad, por lo que se indicó resección de las mismas. La anatomía patológica confirmó su origen tumoral compatible con metástasis de TFSP. A los 6 meses, un nuevo TAC mostró múltiples nódulos pulmonares bilaterales y afectación ósea confirmada por gammagrafía. Tras ser valorada por el servicio de oncología médica, se solicitó la realización de la mutación de c-kit, al existir casos descritos con dicha mutación y períodos de larga respuesta a imatinib4. Finalmente, se trató de un tumor c-kit negativo, por lo que se decidió iniciar tratamiento con quimioterapia, mostrando rápida progresión a las distintas líneas de tratamiento, falleciendo al poco tiempo del diagnóstico de la recidiva.
Este caso, en nuestra opinión ilustra 2 aspectos importantes. Por un lado, la presencia de un tumor infrecuente como es el TFSP que debuta de forma oligosintomática y que se debe plantear dentro del diagnóstico diferencial de masas pleurales. Por otro lado, el hecho de que la enfermedad se inicia aparentemente bajo una forma poca agresiva, pero con criterios histopatológicos de alto riesgo, evolucionando posteriormente de forma tórpida y con gran agresividad. Este hecho debe hacernos reflexionar que nos encontramos ante un tumor poco conocido, del cual desconocemos su historia natural y con pobres opciones terapéuticas.








