A 59-year-old Moroccan man, smoker of 20cigarettes/day, presented with subacute clinical symptoms of fever, cough, expectoration, and weight loss.
Physical examination revealed cachexia and tachypnea. Chest X-ray and computed tomography showed a lung mass measuring 10cm×5cm, causing atelectasis of the left upper lobe (LUL), and right apical pleural thickening. Labs showed elevated CRP and partial respiratory failure. Fiberoptic bronchoscopy revealed LUL stenosis suggestive of malignancy. No mycobacteria were observed in Ziehl-Neelsen staining of sputum smear and bronchoalveolar lavage (BAL). No molecular tuberculosis testing was requested (Fig. 1).
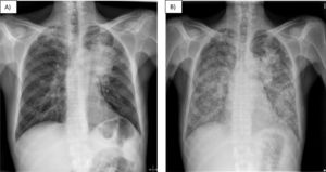
Radiological progress throughout hospital admission. Chest X-ray on admission (A) revealing a lung mass measuring 10cm×5cm causing atelectasis of the left upper lobe, along with apical fibrosis and calcified granulomas. Chest X-ray 14 days after admission (B) revealing bilateral diffuse micronodular interstitial infiltrate not present on the previous X-ray.
The patient's respiratory situation deteriorated, so the X-ray was repeated, showing bilateral diffuse micronodular interstitial infiltrate. The initial suspicion was carcinomatous lymphangitis: the chest CT was not repeated due to respiratory instability.
The biopsy showed small cell carcinoma. Chemotherapy was started with carboplatin-etoposide. The patient's respiratory deterioration progressed until he died 4 days later.
Sputum and BAL culture results obtained after death showed growth of Mycobacterium tuberculosis.
Tuberculous reactivation in this patient with small cell carcinoma caused severe parenchymal lung involvement leading to death. The incidence of latent tuberculosis, and sometimes active disease, in lung cancer, is high, and some authors propose screening.1,2
Please cite this article as: Borregón Rivilla M, Martínez Barroso K, Ramos Reguera I. Afectación parenquimatosa pulmonar grave por reactivación de tuberculosis latente en paciente con cáncer microcítico de pulmón. Arch Bronconeumol. 2021;57:493–494.








