El seudoquilotórax es un derrame pleural muy infrecuente, que se caracteriza por un contenido elevado de colesterol, y que suele ocurrir en derrames crónicos con engrosamiento pleural1. Las causas más frecuentes son el derrame tuberculoso, las secuelas del neumotórax terapéutico y la pleuritis reumatoidea, aunque se ha observado en otras situaciones clínicas1,2. Si bien, en la artritis reumatoide, el derrame pleural es un hallazgo relativamente frecuente, en estos pacientes solo se han descrito unos 20 casos de seudoquilotórax, no obstante, es difícil conocer la prevalencia real de este proceso3.
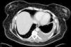
Clásicamente se había sugerido que la presencia de colesterol en el espacio pleural se debía a la degradación de eritrocitos y neutrófilos en el interior de una pleura engrosada, pero su origen parece derivar de las lipoproteínas séricas más que de la lisis celular1. El engrosamiento pleural con tejido cicatricial fibrótico que dificultaba la absorción del líquido era considerado un aspecto clave en la etiopatogenia del seudoquilotórax1. Sin embargo, en los últimos años se ha señalado la existencia de algunos casos de seudoquilotórax en pacientes con artritis reumatoide en los que no existe engrosamiento pleural, poniendo en duda el mecanismo patogénico habitualmente aceptado4,5. Hemos diagnosticado un nuevo caso de seudoquilotórax en una paciente con artritis reumatoide, en la que no existía engrosamiento pleural. Una paciente de 53 años fue remitida a neumología por el hallazgo de un derrame pleural de escaso volumen, sin síntomas asociados, detectado en el estudio preoperatorio de eventración abdominal. La paciente disponía de una radiografía de tórax realizada 7 meses antes, sin derrame pleural. Era fumadora de 25 paquetes-años, sin síntomas respiratorios previos. Estaba diagnosticada de artritis reumatoide desde 2 años antes, en tratamiento con corticoides, metotrexato y certolizumab. En la TAC de tórax (fig. 1) se apreciaba un derrame pleural sin signos de engrosamiento pleural. Se realizó una toracocentesis con obtención de líquido opalescente, sin gérmenes, ni células malignas, con pH 7,03, glucosa <20mg/dl, proteínas 7g/dl, LDH 14.691U/l, ADA 137U/l, factor reumatoide <9U/ml, triglicéridos 17mg/dl y colesterol 255mg/dl (sérico 186mg/dl).
El caso descrito tiene las características de los derrames pleurales por artritis reumatoide (pH y glucosa muy bajos, y valores elevados de LDH) y de seudoquilotórax (triglicéridos bajos con gran elevación del colesterol en el líquido pleural). Nuestro caso confirma las escasas observaciones previas de la posibilidad de ausencia de engrosamiento pleural en casos de seudoquilotórax asociados a artritis reumatoide. Este hallazgo implica que deben buscarse mecanismos patogénicos alternativos en la formación de este tipo de derrame pleural a su atribución al proceso crónico del líquido dentro de una pleura fibrosada4, y nos permite afirmar que la ausencia de engrosamiento pleural no excluye un seudoquilotórax. El seudoquilotórax no precisa un tratamiento específico en ausencia de síntomas1. No obstante, en los asociados a artritis reumatoide hay casos descritos donde el tratamiento intensivo de la enfermedad de base se asocia al control o la resolución del seudoquilotórax.
A Eduardo García Pachón, sin el cual no podríamos haber realizado el presente trabajo.








