El quilotórax se define como la presencia en líquido pleural de triglicéridos (> 110mg/dl), con relación pleura/suero>1, tinción Sudán III positiva o detección de quilomicrones. Es la causa más frecuente de derrame pleural en los fetos y neonatos; sin embargo, en los adultos representa solo el 3% de los casos de derrame pleural. Sus principales causas son las neoplasias (linfomas en un 75% de casos), seguidas de iatrogenia y traumatismos. Otras causas raras son linfangiomiomatosis, sarcoidosis, tuberculosis, malformaciones linfáticas congénitas e idiopáticas, entre otras1.
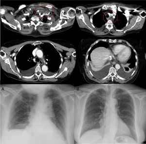
Presentamos el caso de una paciente de 60 años, con antecedentes de hipertensión arterial, dislipidemia e hipotiroidismo tratado farmacológicamente. Tras un estornudo intenso presentó tumefacción supraclavicular izquierda, acompañada de mareo, por lo que acudió a Urgencias. En la radiografía de tórax se observó derrame pleural basal bilateral; tras efectuarse una TAC cérvico-torácica se apreció colección laterocervical-supraclavicular izquierda que se extendía por todos los compartimentos mediastínicos, con derrame pleural bilateral (fig. 1), interpretado radiológicamente como hematoma tras estornudo violento. Se mantuvo actitud expectante y, tras evidenciar progresión radiológica bilateral del derrame, se colocaron sendos drenajes endopleurales. En ambos hemitórax se obtuvo un líquido de aspecto quiloso, cuyo estudio analítico bilateral confirmó que se trataba de un exudado estéril rico en triglicéridos (2.241mg/dl en el hemitórax derecho y 2.160mg/dl en el izquierdo). Tras confirmación diagnóstica de quilotórax bilateral, se instauró tratamiento dietético con restricción de grasas. El débito por ambos drenajes cedió progresivamente, manteniendo un aspecto seroso tras iniciar la restricción dietética y confirmándose la resolución bioquímica del quilotórax. Dada la evolución favorable, se omitió instaurar otras medidas terapéuticas, pudiendo retirarse el drenaje pleural izquierdo a las 48 h (fig. 1 A) y el derecho a los 5 días. Tras retirada de los drenajes, el control radiológico confirmó la resolución bilateral del derrame. Durante el seguimiento en Consultas Externas, se evidenció la resolución clínico-radiológica del cuadro (fig. 1 B).
Cortes axiales de TAC que muestran colección laterocervical-supraclavicular izquierda extendida difusamente por todos los compartimentos mediastínicos (marcadas por elipse), con derrame pleural bilateral. A) Radiografía PA de tórax tras retirada del drenaje pleural izquierdo, manteniendo el drenaje pleural derecho. B) Radiografía PA de tórax realizada como control de seguimiento 3 meses después del episodio, apreciándose resolución completa del derrame pleural bilateral.
En la literatura se describen traumatismos menores como causa desencadenante de quilotórax: estiramientos forzados de miembros superiores, o maniobras que provocan hiperpresión intratorácica (vómitos, hipo tras ingesta rica en grasas, tos, trabajo del parto o muy raramente estornudo —como el caso que nos ocupa, no habiéndose encontrado ningún caso descrito en PubMed ni Embase—)1,2. Estos casos en los que el estudio no evidencia una causa de disrupción del conducto torácico se consideran espontáneos; no obstante, es muy probable que concurra una fragilidad aumentada del conducto como factor predisponente2. Son pocos los casos comunicados en la literatura; la revisión de casos similares muestra un patrón bastante definido, consistente en la aparición de hinchazón supraclavicular izquierdo junto a quilotórax bilateral, tras esfuerzo leve en una mujer en la quinta década de la vida3. En el caso descrito, la relación temporal entre el estornudo y la aparición de derrame linfático, junto con la ausencia de otra causa específica, permitió establecer el diagnóstico de quilotórax espontáneo. La realización de TAC es importante para la caracterización adecuada del cuadro clínico y su grado de afectación, así como para la detección de posible patología de base (patología del conducto torácico, adenopatías, masas, patología pulmonar…)4,5. Como la rotura del conducto es mínima en estos casos espontáneos, la linfografía no suele ser concluyente, a diferencia de los casos originados por un traumatismo mayor; por tanto, se considera que con la realización de la TAC y el análisis del líquido pleural como se hizo en nuestro caso, no se precisan otros estudios complementarios.
En general, el mejor tratamiento para el quilotórax es corregir la causa subyacente cuando se identifica1. El manejo terapéutico puede incluir medidas conservadoras (restricción dietética de grasas, toracocentesis evacuadoras, nutrición parenteral, tratamiento con octreótido), procedimientos de mínima invasión (drenajes pleurales, pleurodesis, técnicas de radiología intervencionista) e intervención quirúrgica (ligadura del conducto torácico, videotoracoscópico o mediante toracotomía)5. Cuando el débito es escaso, como en los casos espontáneos, el quilotórax puede ser controlado adecuadamente mediante tratamiento dietético y evacuación del derrame pleural si su volumen lo hace recomendable (toracocentesis evacuadora o drenaje pleural)2,3, como ocurrió en nuestro caso. Debemos hacer énfasis en la importancia del conocimiento de esta entidad clínica, el quilotórax espontáneo; manejado adecuadamente de forma conservadora presenta buen pronóstico, a diferencia de los debidos a otras etiologías.
 
										
				



 
 
		




