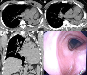
A 40-year-old Chinese man with no significant medical history was admitted to the emergency room with viral gastroenteritis. Physical examination revealed no significant findings, except for the absence of vesicular murmur in the left lung field. Chest X-ray showed left mediastinal shift with left hemitorax opacification. A chest CT was requested, which confirmed left mediastinal shift due to the absence of the left lung and revealed a normal-sized main pulmonary artery with a hypoplastic left pulmonary artery (Fig. 1A-C). Bronchoscopy showed left main bronchial agenesis with mild infundibulum at the supposed anatomical site, with normal mucosa at the carina (Fig.1D). Our patient had pulmonary agenesis that could be classified as type 2, characterized by rudimentary or absent bronchi with complete absence of pulmonary parenchyma. In this rare anatomical defect, one of the main bronchi is replaced by a blind pouch. The left side is the most frequently affected, leading to postpartum compensatory pulmonary herniation toward the left hemitorax1,2. When the malformation occurs in isolation, it is sometimes diagnosed incidentally in adulthood, as occurred in our case.
Please cite this article as: Silva Couto CA, Soares JH, Ribeiro V. Agenesia pulmonar. Arch Bronconeumol. 2020. https://doi.org/10.1016/j.arbres.2019.09.014








