Leímos con gran interés el caso presentado por Bueno Palomino1 que alerta a los neumólogos sobre los riesgos para la salud que conlleva el pulido con arena.
Nos gustaría resaltar los riesgos de una actividad similar: el pulido con arena que se emplea en la industria pesada, especialmente en la construcción naval para limpiar las calderas y los cascos de los buques. En el pulido abrasivo se proyectan partículas abrasivas contra una superficie (generalmente vidrio o metal) mediante aire comprimido. En 1949, el Reino Unido adoptó una serie de normas para las actividades de pulido que han restringido en gran medida el uso de productos abrasivos que contienen sílice libre. En 1992, el National Institute for Occupational Safety and Health (Instituto nacional de seguridad e higiene laboral) recomendó que se prohibiera el uso de arena en el pulido abrasivo.
La silicosis detectada en trabajadores de la industria naval encargados del pulido con arena se presenta en la forma más agresiva de la enfermedad, con pruebas de fibrosis masiva progresiva en aproximadamente el 40% de los casos 2. También se han registrado casos de silicoproteinosis en este grupo de pacientes.
La silicoproteinosis puede desarrollarse después de un tiempo relativamente corto de exposición a las finas partículas de sílice (p. ej., en actividades de pulido con arena). La evolución de la enfermedad suele ser rápida. Se manifiesta en unos meses o pocos años tras la exposición inicial. Los síntomas incluyen un empeoramiento progresivo de la respiración que invariablemente termina en una insuficiencia respiratoria aguda. El pronóstico es muy malo y la mayoría de los casos registrados han fallecido en meses. Las características patológicas de la silicoproteinosis son distintas de la silicosis crónica y se asemejan a las de la proteinosis alveolar primaria. No se ha descrito ninguna terapia efectiva y el tratamiento se limita a medidas de apoyo2–4.
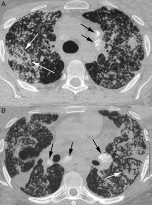
Los hallazgos de silicoproteinosis mediante TAC de alta resolución consisten en espacios de aire bilaterales que se manifiestan como consolidación, opacidades en vidrio esmerilado y nódulos centrilobulares. Se suele observar calificación puntiforme superpuesta en zonas de consolidación y ganglios linfáticos calcificados3,4 (fig. 1).
Varón de 29 años con silicoproteinosis. El paciente trabajaba como pulidor con arena en la industria naval, con un historial de exposición al sílice de 2,8 años. El TAC de los lóbulos superiores (A) e inferiores (B) muestra numerosos nódulos de espacios de aire bilaterales, algunos confluentes (flechas blancas) con zonas de consolidación en ambos pulmones. Se evidencian ganglios linfáticos mediastínicos e hiliares calcificados (flechas negras).
Aunque no cabe prever la incidencia continuada de la silicoproteinosis en la sociedad moderna, se siguen registrando casos esporádicos, especialmente en países en vías de desarrollo. Los radiólogos y los neumólogos deberían conocer el cuadro clínico y los patrones de diagnóstico por imágenes de esta grave enfermedad progresiva que puede tener una consecuencia mortal poco después de la aparición de los síntomas.
Conflicto de interesesLos autores declaran que no tienen conflicto de interés alguno que manifestar.








