Sr. Director:
El mesotelioma pleural maligno es una neoplasia agresiva originada en el mesotelio pleural, siendo el asbesto el principal factor implicado en su patogénesis. Desde el punto de vista histológico, se clasifica en epitelioide (60%), bifásico (30%) y sarcomatoide (10%). Por lo general se manifiesta a nivel local en el hemitórax afecto, y su presentación como enfermedad metastásica es poco frecuente. Son raros los casos de mesotelioma pleural maligno que manifiestan complicaciones gastrointestinales secundarias a implantes metastásicos. Presentamos un caso de perforación yeyunal por metástasis de mesotelioma pleural maligno tipo epitelioide.
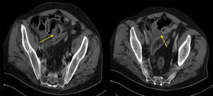
Varón de 67años con antecedentes de mesotelioma pleural maligno (T3N2M0) intervenido en julio 2010, en el que se realizó una pleuroneumectomía radical con linfadenectomía, recibiendo quimioterapia adyuvante y en seguimiento por Oncología. Acude a Urgencias en agosto de 2011 por dolor abdominal de 4h de evolución, de inicio súbito, localizado en el hipogastrio y que posteriormente se hace difuso. A la exploración presenta abdomen con defensa generalizada y signos de irritación peritoneal. La analítica está dentro de los límites de la normalidad. La radiografía de abdomen no presenta hallazgos relevantes y se realiza una TC abdominal con contraste intravenoso que informa de neumoperitoneo, engrosamiento mural circunferencial de un corto segmento de intestino delgado en hipogastrio (yeyuno) con marcados cambios inflamatorios y pequeñas burbujas de aire adyacente (fig. 1). Ante los hallazgos se decide intervención quirúrgica urgente mediante laparotomía media supra-infraumbilical, hallando peritonitis aguda purulenta inframesocólica por perforación única de yeyuno sobre placa isquémica. Se realiza resección intestinal y anastomosis término-terminal manual. El postoperatorio fue satisfactorio, y la anatomía patológica informa de metástasis de mesotelioma maligno epitelioide en la pared intestinal y en 2 ganglios aislados. El paciente fue remitido a Oncología, iniciando tratamiento con quimioterapia.
Hemos revisado la bibliografía en Medline (1974-2013) y encontrado 4 casos descritos de metástasis de mesotelioma pleural maligno con afectación de intestino delgado1–4 y un único caso que se presenta como perforación aguda yeyunal5. Nuestro paciente es el segundo caso descrito como presentación aguda. El mesotelioma pleural maligno suele manifestarse como un tumor localmente invasivo en el tórax, siendo muy pocos los casos de metástasis gastrointestinales, probablemente debido a su difícil diagnóstico. Se suelen interpretar los síntomas abdominales como secundarios a la quimioterapia, ya que son poco específicos y, además, la ecografía y la TC abdominal tienen baja sensibilidad para la detección de tumores intestinales. La PET-TC y la combinación de cápsula endoscópica y endoscopia de doble balón pueden ayudar a la detección de este tipo de implantes metastásicos.
Consideramos que la posibilidad de metástasis de intestino delgado debe ser tenida en cuenta en pacientes con antecedentes de mesotelioma pleural maligno y clínica compatible con dolor abdominal agudo, sangre oculta en heces y dolor abdominal intermitente, inespecífico.
FinanciaciónServicio de Cirugía General y Aparato Digestivo del Hospital Universitario Santa Lucia de Cartagena.
Servicio de Cirugía General y Aparato Digestivo del Hospital Universitario Santa Lucia de Cartagena.








