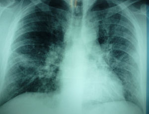
Un hombre de 39 años (gran fumador, hipertenso y moderadamente obeso) acudió a la Unidad Interna de Atención en octubre de 2012 por un cuadro de disnea de 3 días de evolución con tos productiva paroxística y dolor retroesternal, sin fiebre. Se detectaron crepitaciones leves al final de la espiración en los campos pulmonares medios y bajos de forma bilateral, asociadas a una fase espiratoria medianamente prolongada y leucocitosis leve. El paciente rechazó el ingreso hospitalario y 2 días más tarde regresó por agravamiento de una intensa disnea en reposo, con frecuencia cardiaca de 130 latidos por minuto y fiebre (38,5°C). Una nueva radiografía de tórax reveló infiltrados alveolares más intensos, difusos y extendidos por todo el pulmón izquierdo y el campo medio del pulmón derecho (fig. 1). En el análisis rutinario de sangre se halló leucocitosis, aumento de neutrófilos y monocitos, aumento relativo de PCR (7,5mg/dl), VSG (73mm/h), ALT (83U/L) y LDH (484U/L).
Se le administró levofloxacina, piperacilina/tazobactam, suplemento de oxígeno, broncodilatadores inhalados y oseltamivir (durante 5 días), ya que no se descartó una neumonía por gripe. Sin embargo, el paciente empeoró y se aplicó ventilación no invasiva con presión positiva de 2 niveles mediante máscara facial completa durante las 24 horas. Fue dado de alta 10 días más tarde, completamente recuperado.
Se recogieron 3 muestras de sangre completa y suero (en el segundo ingreso, a los 21 días y un mes más tarde) junto con esputo, muestras de líquido pleural y orina durante la hospitalización. Se analizó el suero mediante inmunofluorescencia indirecta con anticuerpos IgM e IgG contra L. pneumophila SG 1, L. pneumophila SG 2-14 y otras especies de Legionella (L. rubrilucens, L. anisa, L. brunensis, L. quinlivanii, L. maceachernii, L. oakridgensis, L. taurinensis y L. londiniensis) con un portaobjetos de fabricación propia. Se detectaron anticuerpos IgG en suero frente a L. maceachernii en todas las muestras de suero (1.ª: 1/960, 2.ª: 1/3.840, 3.ª: 1/3.840); los títulos para el resto de las especies y/o serogrupos oscilaron entre 0 y 1/480. Se detectaron anticuerpos IgM (1/50) solo en la primera muestra y solo frente a L. maceachernii. Todos los sueros dieron negativo para los virus de la hepatitis, VIH, Coxiella burnetii, Mycoplasma pneumoniae y Chlamydia pneumoniae.
Se extrajo el ADN (Qiamp DNA blood mini kit, Qiagen, Hilden, Alemania) a partir de sangre completa y esputo y se realizó PCR multiplex en tiempo real para detectar L. pneumophila y Legionella spp.1. La PCR fue positiva con bajo número de copias para Legionella spp. solo en el líquido pleural.
Se aisló una colonia en el cultivo de sangre completa, líquido pleural y esputos (placas de Petri con medio de carbón tamponado y extracto de levadura suplementado con α-cetoglutarato [α-BCYE] y BCYE con polimixina B, anisomicina y vancomicina incubados a 36°C/2,5 % CO2). Se analizó por MALDI-TOF MS (Bruker Daltonics) y coincidió con Legionella spp. con un score de 1,99.
La infección por L. maceachernii se presenta sobre todo como neumonía2, aunque se ha descrito recientemente un caso de infección de tejidos blandos3. Los 6 pacientes descritos hasta la fecha tenían enfermedades subyacentes, como infección por VIH, mieloma múltiple, fibrosis pulmonar, lupus eritematoso sistémico y anemia hemolítica autoinmune, o bien se habían sometido a un trasplante de hígado. Todos fallecieron excepto un único paciente. La desaparición de L. maceachernii de los pulmones de ratones infectados es relativamente rápida en comparación con otras especies4, por lo que la alta mortalidad podría deberse a la presencia concomitante de una enfermedad subyacente.








