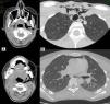
Mujer de 22 años que acude a urgencias por dificultad respiratoria y deglutoria, y dolor en hemitórax izquierdo 2h después de habérsele realizado una doble extracción dentaria. En la exploración física no se apreciaban alteraciones en orofaringe salvo la exodoncia de 2 molares superiores izquierdos, ni datos de compromiso de vía aérea superior; sin embargo, llamaba la atención la crepitación a la palpación del cuello y región superior del tórax. Mantenía estables todas las constantes vitales. Se realizó un TC facial, cervical y torácico diagnosticándose un neumomediastino que afectaba a mediastino superior y anterior, además de demostrar el enfisema subcutáneo de cuello y cara que disecaba incluso planos cervicales profundos (fig. 1). Se trató con metamizol y profilaxis antibiótica con amoxicilina-clavulánico. Fue dada de alta en 48h y revisada a las 2 semanas por cirugía torácica comprobándose la resolución completa del proceso. La aparición de neumomediastino y enfisema subcutáneo masivo, relacionados con procedimientos dentales es muy infrecuente, siendo pocos los casos documentados. Habitualmente son autolimitados sin generar compromiso vital, aunque en raras ocasiones pueden evolucionar hacia un neumotórax a tensión, mediastinitis o embolia gaseosa. El tratamiento antibiótico profiláctico está indicado sobre todo en presencia de enfermedades respiratorias subyacentes o infecciones dentales1.
A) Enfisema subcutáneo de extensión cérvico-facial disecando incluso planos cervicales profundos (fosa pterigoidea y espacios submandibular, masticador, retrofaríngeo, parafaríngeo y carotídeo izquierdos). B) Neumomediastino por extensión hacia mediastino superior (rodea tráquea, troncos supraaórticos y estructuras adyacentes) y anterior (delante del saco pericárdico y zona de salida de los grandes vasos).
Los autores declaran no tener ningún conflicto de intereses.








