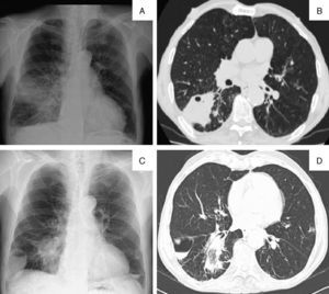
Un varón de 70 años de edad, fumador y sin antecedentes médicos de interés, fue ingresado en el servicio de neumología por presentar disnea de esfuerzo moderada, asociada a fatiga de 3 meses de evolución. El paciente refería tos productiva con expectoración mucosa y negaba haber presentado hemoptisis y sintomatología general. La auscultación pulmonar objetivó una disminución de los sonidos respiratorios en el lado derecho. La analítica de sangre mostró una elevación de los marcadores inflamatorios sistémicos. La radiografía de tórax (fig. 1A) reveló una opacidad en el pulmón derecho asociada a un patrón micronodular. La tomografía computarizada (TC) torácica (fig. 1B) mostraba una consolidación en el lóbulo inferior derecho (LID) con cavitación inicial. En la broncoscopia no se observaron lesiones endobronquiales, y el estudio microbiológico del aspirado solamente reveló un Staphylococcus aureus resistente a meticilina. A pesar de la antibioterapia dirigida, la evolución clínica y radiológica no fue favorable y la radiografía de tórax (fig. 1C) mostró una opacidad y una nueva lesión cavitaria; la TC torácica (fig. 1D) confirmó la presencia de una consolidación con una cavitación, y una formación quística compatible con un neumatocele. Se efectuó una biopsia de la lesión parenquimatosa que fue compatible con neumonía organizada (que se trató con 0,75mg/kg/día de prednisona durante 4 semanas, con posterior reducción gradual de la dosis), con buena evolución clínica y radiológica. Durante el seguimiento se observó la resolución de la lesión del neumatocele.
A) Radiografía de tórax inicial en proyección posteroanterior (PA): opacidad heterogénea en el pulmón derecho asociada a un patrón micronodular. B) Tomografía computarizada torácica inicial en plano axial (axial plane [AP]): consolidación en el segmento apical del lóbulo inferior derecho con cavitación inicial. C) Radiografía de tórax en proyección PA: opacidad triangular y nueva lesión cavitaria con nivel hidroaéreo, que ocupaba el ángulo costofrénico derecho. D) Tomografía computarizada torácica en AP: consolidación con cavitación en el segmento apical del lóbulo inferior derecho y formación quística con nivel hidroaéreo, compatible con neumatocele.








