Chondrosarcomas form a widely varying group of malignant bone tumors that have the common feature of producing cartilaginous chondroid matrix. We present a case of metastatic pulmonary chondrosarcoma, presenting as a rapidly-growing pulmonary mass with eccentric calcification.
A 64-year-old man, asymptomatic, passive smoker, with a benign tumor resected from the palate 12 years previously. In the preoperative evaluation for knee surgery, a pulmonary mass was observed in the posterior segment of the left upper lobe (LUL), 3.5cm in diameter with lobulated borders and eccentric calcification. No endobronchial lesions were observed on bronchoscopy, and bronchoalveolar lavage fluid and aspirate were negative for malignancy. Lung function test results were normal. Fine-needle aspiration yielded insufficient material for diagnosis. Positron emission tomography revealed slight hypermetabolism in the periphery of the pulmonary mass, but benignancy could not be distinguished from malignancy.
In view of the results of the complementary evaluations, and because the patient was asymptomatic, radiological follow-up in 3 months was scheduled.
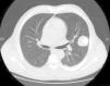
The new chest computed tomography (CT) at the 3-month check-up (Fig. 1) showed that the mass in the LUL had increased in size (4.9×4.1cm), so surgical resection of the pulmonary mass was performed. Based on the pathology report, diagnosis was metastatic chondrosarcoma. Biopsies from the palatal tumor resected 12 years previously were reviewed, and the conclusion was made that it had been a mixed tumor type, with a double epithelial and mesenchymal component. The epithelial component was small and benign. The malignant component was a mesenchymal chondrosarcoma.
Chondrosarcomas (CS) are the third most common bone cancer, accounting for 20%–27% of malignant primary bone cancers, after myeloma and osteosarcoma.1 Histologic grade is one of the most important indicators of clinical behavior and prognosis.2 Tumors are classified on a scale of 1–3, on the basis of the nuclear size, hyperchromia, mitotic activity and cellularity. Ninety percent are low or intermediate grade tumors3 with slow growth, low metastatic potential and resistance to chemotherapy or radiation therapy.
CS usually appears between the ages of 50 and 60 years, the most common symptom being pain. Calcifications in the interior of the tumor are seen on radiology. Metastases occur in 70% of patients with grade 3 CS, most frequently in the lung and less so in the regional lymph nodes and the liver. In view of the low grade of metastasis in grade 1 patients (less than 10%), radiological follow-up of the lung is not generally required. However, the rate of metastasis in patients with intermediate–high grade CS is higher. In these patients, staging procedures should include a chest CT.
Surgical resection of the tumor is the treatment of choice. Chemotherapy is usually considered ineffective in CS, particularly in low-grade tumors. The benefits of chemotherapy in grades 2 or 3 are unpredictable.
Please cite this article as: Irigaray Canals RM, Extremera Fuentes R, Romero Plaza A, Mayol Mateu A, Blanquer Escribano D. Condrosarcoma pulmonar metastásico: descripción clínica y revisión de la literatura. Arch Bronconeumol. 2015;51:52.








