Los lipomas son los tumores benignos de tejidos blandos más frecuentes en humanos y aparecen en aproximadamente el 1% de la población. Son por lo general subcutáneos, y rara vez aparecen en vísceras1. Los lipomas pulmonares son infrecuentes, y la mayoría de ellos se describen como lesiones endobronquiales que constituyen del 0,1 al 0,5% de los tumores de pulmón. Por otro lado, los lipomas pulmonares con localización intraparenquimatosa periférica son extremadamente raros2,3. Presentamos un caso de este tipo.
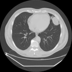
Un paciente varón de 58 años de edad se presentó con dolor en el hemitórax izquierdo que se irradiaba al brazo izquierdo y el hombro. La radiografía de tórax reveló una lesión no definida en el lóbulo superior del pulmón izquierdo. Una tomografía computarizada multicorte mostró un nódulo pulmonar intraparenquimatoso redondeado y localizado periféricamente que medía 53×54mm y se situaba en la parte inferior del lóbulo superior del pulmón izquierdo (língula). La lesión estaba en contacto con el diafragma, el pericardio y la pleura parietal (fig. 1).
Se realizó toracotomía y la inspección intraoperatoria reveló una masa tumoral en la língula que se adhería al diafragma y al pericardio. No se encontraron adenopatías hiliares o mediastínicas. Se realizó lobectomía superior unilateral izquierda y la muestra fue enviada para su análisis histopatológico.
Macroscópicamente, se trataba de una masa tumoral en la língula redonda, de bordes definidos, suave y marrón claro que medía 35×25×25mm. El análisis histológico reveló un tumor formado por células adiposas maduras con áreas interpuestas de fino estroma de colágeno. El núcleo del tumor estaba necrótico. Una cápsula fibrosa separaba el tumor del resto del parénquima pulmonar y la pleura visceral por uno de los lados y del tejido adiposo y el músculo (considerados partes del pericardio y el diafragma) por el otro lado. Según su apariencia histológica, se informó como lipoma. El paciente se encuentra bien 4 meses después de la cirugía.
Los lipomas pulmonares intraparenquimatosos no parecen tener predilección por un lóbulo o lateralidad y aparecen tanto en varones como en mujeres entre 26-81 años de edad. Los tamaños de los tumores descritos anteriormente son variados, desde 1,3 hasta 7cm de diámetro2–4.
Estos tumores tienen un curso clínico benigno y suelen ser asintomáticos, aunque en raras ocasiones, como en este caso, se presentan con parestesia del brazo, disnea leve y disfunción pulmonar3,4.
Los lipomas pulmonares periféricos no se pueden distinguir de los tumores malignos en la radiografía de tórax. Se considera que la tomografía computarizada ayuda al diagnóstico, aunque sigue siendo difícil para los radiólogos decidir la naturaleza biológica de la lesión3.
El tratamiento de los nódulos pulmonares solitarios (incluyendo los lipomas pulmonares) sigue siendo tema de debate, porque en casi ninguno de los casos descritos se ha podido excluir malignidad con total seguridad. Por lo general, se extirpan quirúrgicamente y el procedimiento más habitual es la lobectomía5.
En nuestro caso, el estudio de tomografía computarizada multicorte y la inspección intraoperatoria del pulmón mostraron la lesión pulmonar intraparenquimatosa en contacto con el diafragma, el pericardio y la pleura parietal, y simulaba clínicamente una neoplasia maligna. Por lo tanto, la lobectomía se consideró el tratamiento de elección. Aunque son raros, se deben tener en cuenta los lipomas pulmonares intraparenquimatosos en el diagnóstico diferencial de los nódulos pulmonares localizados periféricamente para que se pueda planificar y modificar cuidadosamente el procedimiento quirúrgico.
Agradecimientos y fuente de financiaciónEl manuscrito se redactó en el Hospital Universitario de Dubrava, Zagreb. No se recibió financiación externa a la institución. Agradecemos a Stela Bulimbašić y a Arijana Pačić por sus consejos durante la preparación de manuscrito.








