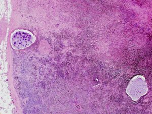
En los últimos años, las unidades de endoscopia han introducido la ultrasonografía endobronquial (EBUS), que permite la práctica de punción aspirativa transbronquial (TBNA) en tiempo real de los ganglios mediastínicos e hiliares1. Esta técnica, conocida como EBUS-TBNA, es una técnica mínimamente invasiva, que podría reemplazar a la mediastinoscopia2. En algunos modelos de aguja para EBUS-TBNA es necesario retirar el estilete metálico para facilitar la punción a través de la pared traqueal o bronquial. Para exponer el extremo punzante de la aguja es necesario retroceder el tirador redondeado del estilete algunos milímetros. Si no se retira ligeramente, la punta de la aguja quedará cubierta por el estilete romo y dificultará su penetración a través de la pared bronquial. En algunas ocasiones, este hecho provoca el arrastre de un fragmento de cartílago, que queda incrustado en el interior del ganglio linfático (fig. 1). Por este motivo, se aconseja redirigir la aguja y evitar así la obstrucción causada por el fragmento de cartílago situado justo delante de la aguja al aspirar la muestra.
El caso de un paciente que se sometió a una linfadenectomía dos semanas después de haberse realizado una EBUS-TBNA. La biopsia de un ganglio paratraqueal inferior demostró la presencia de pigmento antracótico en los macrófagos y de dos fragmentos de cartílago en su interior, tal como muestra la imagen anatomopatológica.








