La elastografía en tiempo real realizada durante la ultrasonografía endoscópica digestiva es una técnica relativamente nueva que permite caracterizar la dureza de los tejidos, y ha sido utilizada con éxito como predictor de malignidad en ganglios mediastínicos.
En la presente nota clínica se describe nuestra experiencia práctica en la técnica de la elastografía con ecobroncoscopio en el estudio de los ganglios linfáticos mediastínicos. Presentamos un caso realizado mediante ultrasonografía endobronquial sectorial y el primer caso publicado de elastografía por ultrasonografía endoscópica con ecobroncoscopio, en 2 pacientes con carcinoma de pulmón no microcítico. El patrón cualitativo en color del tejido se obtuvo en ambos casos y se correlacionó con la evaluación anatomopatológica.
Los resultados de viabilidad iniciales son prometedores y las aplicaciones ecobroncoscópicas, como la estadificación ganglionar guiada, requieren ser evaluadas. Categorizar el riesgo de malignidad puede ser importante para ayudar a tomar decisiones en la obtención de muestras.
Real-time elastography performed during endoscopic ultrasonography is a relatively new method for characterizing tissue stiffness, and has been used successfully as a predictor of malignancy in mediastinal lymph nodes.
This case report describes our practical experience with this technique using an ultrasound bronchoscope to examine mediastinal lymph nodes. We present a case of sectorial endobronchial ultrasound and the first published case of endoscopic ultrasound elastography using ultrasound bronchoscope in two patients with non-small cell lung carcinoma. Qualitative tissue color pattern was obtained in both cases and correlated with pathological evaluation.
The initial feasibility results are promising and suggest that ultrasound bronchoscopy techniques, such as guided nodal staging, merit additional studies. It may be important to categorize the risk of malignancy to facilitate sampling decisions.
La clasificación precisa de los ganglios linfáticos en benignos y malignos es importante para la estadificación del cáncer de pulmón. Los criterios ultrasonográficos morfológicos en modo B para la detección de ganglios linfáticos malignos durante la ultrasonografía endobronquial (USEB) pueden ser útiles para la predicción de metástasis1,2. Sin embargo, la concordancia inter e intraobservador no es lo suficientemente buena para la mayoría de los signos ultrasonográficos3. Una alternativa podría ser la aplicación de la elastografía endosonográfica. Este método proporciona información sobre la elasticidad o rigidez relativa de un tejido mediante imágenes en color, aprovechando la deformación de las estructuras causada por la compresión o las vibraciones, que permite clasificarlo como benigno o maligno. Únicamente se dispone de una publicación previa4 sobre la elastografía durante la USEB, pero se ha utilizado con buenos resultados en la ultrasonografía endoscópica (USE), con una excelente concordancia interobservador5.
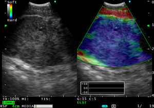
Observación clínicaCaso 1Varón de 66años, exfumador desde hacía 4 años, con antecedentes de EPOC moderada y derrame pleural izquierdo en estudio con citología negativa para malignidad. En los últimos 4meses había presentado 2 episodios de neumonía en el lóbulo inferior izquierdo (LII). Consulta en urgencias por dolor pleurítico izquierdo, incremento de la tos y mal estado general. La PET-TAC mostró una masa necrótica hipermetabólica en LII y adenopatías hipermetabólicas paratraqueales inferiores izquierdas, subcarinales-paraesofágicas izquierdas y paraaórtica izquierda, compatibles con metástasis. Se practicó una broncoscopia, en la que se apreció una tumoración endobronquial en el bronquio del segmento 10 de LII. La citología del cepillado bronquial fue compatible con carcinoma escamoso. Se efectuó una ecobroncoscopia (BF-UC180F Olympus, Japón), en la que se puncionaron ganglios 4R n.°1 (5,4mm), 4R n.°2 (5,9mm), 4R n.°3 (7,5mm), 7 n.°1 (6,6×21,4mm), 4L n.°1 (13,1×15,4mm) y 7 n.°2 (12,6×15,5mm) tras cambio de aguja. Los ganglios 7 n.°1 y 7 n.°2 se examinaron en el modo elastografía (procesador EU-ME2 Premier Plus Olympus, Japón), obteniéndose un patrón cualitativo de imágenes en color donde las áreas de tejido de mayor consistencia estaban en azul oscuro, las intermedias en verde y las más blandas en rojo (fig. 1A y B). En el modo de pantalla doble, la imagen del modoB se muestra a la izquierda, y a la derecha se superpone la imagen de la codificación de colores de las respuestas de tensión con la imagen ultrasonográfica del modoB. La región de interés para los cálculos de la elastografía se seleccionó manualmente e incluyó el ganglio y los tejidos adyacentes. Las punciones fueron negativas para células malignas, excepto las de 4L n.°1 y 7 n.°2, con diagnóstico de metástasis de carcinoma escamoso y necrosis tumoral.
A) La imagen de USEB convencional en modoB de escala de grises (izquierda) y en modo elastografía en tiempo real mediante USEB (derecha) muestra un ganglio linfático subcarinal benigno de 6,6mm, visualizado como un área de rigidez intermedia (verde). B)La imagen de elastografía por USEB (derecha) muestra una adenopatía subcarinal maligna de 12,6mm que se visualiza como un área dura (azul oscuro-cian) debida a infiltración ganglionar por carcinoma escamoso.
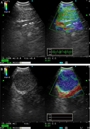
Varón de 74años, fumador, con hipertensión arterial, dislipidemia, infarto agudo de miocardio antiguo y poliglobulia. Refería cuadro de disfonía progresiva desde hacía mes y medio y cuadro de inestabilidad desde hacía 3-4meses, pero que en los últimos días se había intensificado hasta impedir la bipedestación. En la TAC torácica se observó un nódulo pulmonar de 2cm en el lóbulo superior derecho, sugestivo de neoformación pulmonar primaria, múltiples pequeños nódulos pulmonares bilaterales sugestivos de metástasis y múltiples adenopatías mediastínicas aumentadas de tamaño. Se realizó una TAC craneal, en la que se apreciaron signos radiológicos compatibles con múltiples metástasis cerebrales. Con el ecobroncoscopio (bajo sedación consciente [midazolam]) se accedió por vía esofágica, dada la existencia de importante edema cerebral6, y se visualizó una adenopatía subcarinal de 20mm que se puncionó. El modo elastografía indicaba que la consistencia estaba marcadamente aumentada (fig. 2). El diagnóstico fue metástasis de adenocarcinoma de pulmón.
DiscusiónLa elastografía tiene el potencial de mejorar el rendimiento diagnóstico de la punción guiada por USE al discriminar entre los ganglios benignos y malignos7,8. Podría ser también útil en la identificación de las áreas malignas de las adenopatías con afectación heterogénea y dirigir la punción hacia estas áreas. En un metaanálisis reciente se calculó una sensibilidad de la elastografía durante la USE del 88% y una especificidad del 85%, para la diferenciación entre ganglios linfáticos benignos y malignos9.
En el acceso traqueobronquial se ha planteado la posibilidad de que la técnica pudiera estar limitada por la consistencia y la superficie irregular de los cartílagos y la dificultad en la compresión con el extremo distal del ecobroncoscopio. En nuestro primer caso con USEB se pudo obtener imágenes fijas de elastografía a partir de una secuencia dinámica y adecuadas para el análisis de elasticidad, que se correspondió con los resultados citológicos de las punciones. El acceso por vía esofágica con ecobroncoscopio tampoco supuso una limitación. Probablemente el movimiento de los tejidos inducido por los movimientos respiratorios o cardiacos haya determinado el desplazamiento de los ganglios respecto a la pared bronquial o esofágica y el transductor.
En conclusión, la elastografía es una técnica de caracterización tisular viable durante la exploración ecobroncoscópica, y que podría ayudar a predecir la presencia de ganglios malignos y mejorar la toma de muestras. Se requiere la realización de estudios que evalúen la utilidad de la elastografía por USEB en series amplias de pacientes.
FinanciaciónTrabajo financiado parcialmente por Beca SEPAR 2010.
Conflicto de interesesLos autores declaran no tener ningún conflicto de intereses.









