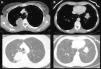
Paciente de 57 años, exfumadora, consulta por tos irritativa. La Rx de tórax identifica una masa paratraqueal derecha y un nódulo en LII con características de malignidad. La TC de tórax muestra: masa sólida, necrosada, con realce periférico en LSD (figs. 1A y C), otra lesión subpleural similar en LII (figs. 1B y D), y una adenomegalia hiliar derecha patológica. Todas las lesiones captan en el PET.
A y C) Cortes axiales de TC en ventana de mediastino y de pulmón respectivamente. Observamos una masa sólida de 6×4cm de bordes infiltrativos, con necrosis en su interior y realce periférico en segmento posterior del LSD adyacente a pleura posterior. B y D) Cortes axiales de TC en ventana de mediastino y de pulmón. Apreciamos otra lesión sólida en el LII adyacente a pleura diafragmática, de contornos infiltrativos, con menor necrosis. E y F) Cortes axiales de TC en ventana de pulmón, a los 6 meses del inicio del tratamiento con bevacizumab. En E vemos la lesión del LSD de mayor tamaño, cavitada y sin componente sólido, y en F la tumoración sólida del LII de menor tamaño y atenuación que en -B y -D).
Se realiza PAAF de ambas lesiones siendo la AP: adenocarcinoma de pulmón ALK no traslocado y EGFR no mutado. Se inicia tratamiento con taxol-carboplatino-bevacizumab (antiangiogénico) y bevacizumab de mantenimiento.
En el TC de control la lesión del LSD aumentó de tamaño, se cavitó y disminuyó el componente sólido (fig. 1E). El tumor del LII y la adenomegalia disminuyeron de tamaño y atenuación (fig. 1F).
En los últimos años ha habido cambios trascendentales en el tratamiento del cáncer de pulmón avanzado con la introducción de dianas moleculares, terapia inmunológica y antiangiogénica, con mecanismos de acción y patrones de respuesta distintos a la quimioterapia convencional. Los efectos de los antiangiogénicos incluyen no solo el cambio de tamaño sino la aparición de cavitación (20%), considerada criterio de buena respuesta al tratamiento. Aunque aumente el tamaño global de la lesión, la cavitación y disminución del componente sólido, se considera respuesta positiva1.








