La neurofibromatosis tipo 1 (NF1) es el tipo más común de las neurofibromatosis, un grupo de trastornos genéticos del sistema nervioso que afectan principalmente al desarrollo y crecimiento de los tejidos de las células neurales. La NF1 tiene una incidencia aproximada de uno de cada 3.000 recién nacidos y se transmite a la descendencia de forma autosómica dominante, si bien hasta un 50% de los nuevos casos surgen espontáneamente mediante mutaciones de novo. Existen escasas referencias bibliográficas que describan la asociación de NF1 con malformaciones cardiovasculares o de la vía aérea1.
Presentamos el caso clínico de una mujer de 45 años diagnosticada de NF1, no fumadora, que presentaba una disfagia secundaria a un tumor mediastínico posterior que comprimía el esófago torácico, compatible radiológicamente (mediante resonancia magnética) con un tumor neurogénico dependiente del nervio vago derecho. En la exploración física únicamente destacaban manchas «café con leche» en la superficie cutánea y varias cicatrices en la espalda y pared abdominal en relación con resecciones previas de neurofibromas en dichas localizaciones. Dada la sintomatología de disfagia progresiva se decidió intervenir quirúrgicamente a la paciente del tumor mediastínico posterior. En la radiografía de tórax preoperatoria (fig. 1A) se observó un posible bronquio traqueal (BT), por lo que se decidió completar dichos estudios con una tomografía computarizada (TC) de tórax, confirmándose la existencia del BT y su asociación inesperada con un drenaje venoso pulmonar anómalo parcial (DVPAP). El DVPAP consistía en un drenaje de la vena del lóbulo superior derecho en la vena cava superior (fig. 1B-D).
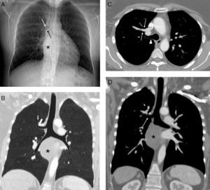
A) Radiografía de tórax en la que se observa una masa mediastínica (asterisco) que oblitera la línea pleuro-ácigos-esofágica y un posible bronquio traqueal (flechas). B) Reconstrucción coronal minIP (proyección de mínima intensidad) que confirma la existencia del bronquio traqueal. Nótese la masa mediastínica (asterisco). C) Imagen axial de TC de tórax con contraste intravenoso en la que se visualiza un drenaje anómalo de la vena pulmonar del lóbulo superior derecho en la vena cava superior (flechas) y el bronquio traqueal (cabeza de flecha). D) Imagen coronal oblicua de TC de tórax con contraste intravenoso en la que se aprecia el bronquio traqueal (flecha) y la masa mediastínica (asterisco).
La asociación de la NF1 con anomalías del desarrollo pulmonar (ya sean vasculares o de la vía aérea) y su diagnóstico en la edad adulta es excepcional y, a nuestro entender, ningún artículo ha descrito previamente su asociación simultánea con un DVPAP y un BT1. El BT es una de las anomalías del desarrollo árbol bronquial más frecuentes y a pesar de su nombre suele originarse con más frecuencia en el bronquio principal derecho que en la propia tráquea. El BT suele diagnosticarse de forma incidental en sujetos asintomáticos a los que se realiza una broncoscopia o una TC de tórax por otro motivo. No obstante, en ocasiones pueden producir hemoptisis, infecciones pulmonares recurrentes o atelectasias del lóbulo superior derecho en pacientes intubados en los que el extremo distal del tubo endotraqueal se localiza a nivel o distal al origen del BT2. El DVPAP es una anomalía del desarrollo vascular consistente en el drenaje anómalo de una o más venas pulmonares en una vena sistémica (vena innominada, vena cava superior, vena ácigos, aurícula derecha, seno coronario o vena cava inferior), estableciéndose un shunt izquierda-derecha. Los pacientes adultos con un DVPAP presentan un riesgo de desarrollar una hipertensión pulmonar precapilar a largo plazo secundaria a una sobrecarga de volumen del ventrículo derecho3. La combinación de estas 2 anomalías del desarrollo en un mismo sujeto es excepcional4. La asociación de NF1 con anomalías del desarrollo pulmonar es muy poco frecuente (2,3%)1. En una revisión de malformaciones vasculares y cardiacas en 2.322 pacientes con NF1 se observó una mayor prevalencia de estenosis pulmonar y de coartación aórtica, pero ningún caso de drenaje venoso pulmonar anómalo (parcial o total)1. La detección de estas dos variantes anatómicas puede tener implicaciones clínicas, anestésicas y terapéuticas en pacientes en los que se plantea una intervención quirúrgica del tórax. En nuestro caso, el conocimiento de estas variantes por parte del anestesista y del cirujano torácico permitió programar y realizar con éxito una resección toracoscópica completa del tumor mediastínico derecho con preservación del nervio vago ipsilateral. El examen histológico confirmó un neurofibroma mixoide sin atipia. El periodo postoperatorio transcurrió sin incidentes y la paciente fue dada de alta 4 días después de la intervención.
La naturaleza excepcional de nuestro caso reside en la combinación nunca antes descrita en la literatura científica de un BT y un DVPAP en una paciente con NF1 con un neurofibroma mediastínico sintomático.








