Mujer de 72 años con diagnóstico de adenocarcinoma de sigma T3N0M0 en el año 2015, que 4 años después presenta un nódulo pulmonar en el lóbulo inferior izquierdo y se solicita biopsia (fig. 1A). El procedimiento se realiza en decúbito lateral derecho ya que en decúbito supino la lesión no era abordable, la paciente no toleraba el decúbito prono y la colostomía impedía el decúbito lateral izquierdo.
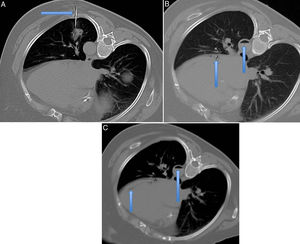
Cortes axiales de la TC para la realización de una biopsia pulmonar con la paciente colocada en decúbito lateral derecho. A) En la imagen superior izquierda se puede ver señalada la aguja tru-cut abordando la lesión alojada en el lóbulo inferior izquierdo (flecha). B) La imagen superior derecha muestra, señalado por flechas, la existencia de aire dentro de la arteria aorta descendente (flecha) y en la arteria circunfleja (flecha). C) En la imagen inferior se demuestra la existencia de aire en el interior del ventrículo izquierdo (flecha).
Se toma biopsia guiada por TC con aguja coaxial y tru-cut de calibre 20G mediante un solo pase.
Inmediatamente tras la pospunción comienza con tos y esputos hemáticos rojo vivo, con cuadro de sudoración, dolor torácico y dificultad respiratoria manteniendo saturaciones del 96%. En la TC existe mínimo neumotórax y aire en la aorta torácica descendente y en la arteria circunfleja (fig. 1B).
Se monitoriza la tensión y se administra O2 al 100%, colocando a la paciente en Trendelenburg para evitar embolismo cerebral.
Minutos después mejora clínicamente; se realiza nueva TC en la que ha disminuido el aire en la aorta descendente y existe mínima cantidad en el ventrículo izquierdo (fig. 1C).
La paciente ingresó en la UCI y tras 48h fue dada de alta asintomática.
El embolismo arterial posbiopsia de nódulo pulmonar es una complicación rara, pero potencialmente letal pudiendo asociar angor1. Presenta una incidencia que abarca del 0,02 al 0,4% de los procedimientos, aunque en la mayoría de los casos se trata de una complicación asintomática y no diagnosticada2.








