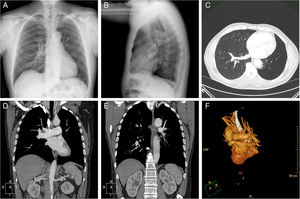
A 67-year-old man, non-smoker, with no other history of interest, consulted due to a long history of progressive dyspnea, mMRC grade II. Chest radiograph was performed (Fig. 1A and B), showing loss of volume in the left lower lobe (LLL) along with hyperlucency and apparent lack of vasculature in that region. Computed tomography (CT) (Fig. 1C–F) showed agenesis of the left lower pulmonary vein and artery along with marked hypoplasia of the left lower lobe and compensatory emphysema of the right upper lobe. Echocardiography revealed no changes or signs indicative of pulmonary hypertension.
Bronchopulmonary abnormalities may be caused by changes occurring between weeks 4 and 24 of embryonic development. Pulmonary hypoplasia is a very unusual abnormality of this type,1 and hypoplasia of a single lobe is even rarer. In cases of segmental involvement, as described here, patients may remain asymptomatic until adulthood, when symptoms such as progressive dyspnea, chest pain, bloody sputum, or recurrent respiratory infections might appear. Chest CT is the diagnostic technique of choice and facilitates the identification of possible anatomical changes associated with this entity.2
Please cite this article as: Ordóñez Dios IM, Mata Calderón P, Herrero González B. Agenesia de la arteria y vena pulmonar izquierdas. Arch Bronconeumol. 2019;55:49.








