A 25-year-old non-smoker female, with no history of tuberculosis or trauma, presented to the emergency department with moderate hemoptysis, with no other symptoms or respiratory failure associated. The patient had recurrent mild hemoptysis since her twenties and recurrent left pneumonia since her infancy. Laboratory tests (complete blood count, coagulation, liver and renal parameters) were normal and lung X-ray showed an heterogeneous opacity in the lower left lobe (LLL).
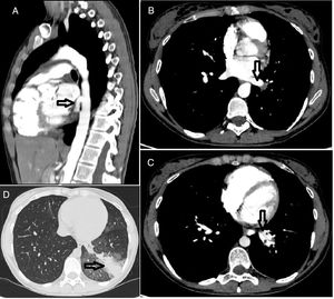
She was admitted for aetiological investigation. Pulmonary sequestration was suspected and an early chest computed tomography and angiography was performed without need for further investigation since it revealed an intralobar pulmonary sequestration, with arterial supply from a thoracic aortic branch (Fig. 1) and venous drainage into pulmonary veins. Her respiratory function tests were normal.
Chest computed tomography and angiography with sagittal (A) and axial (B) reconstructions showing: A (arrow) – an abnormal artery from the thoracic aorta to supply the left lower lobe of the lung; B (arrow) – the left inferior pulmonary vein receiving the drainage from the lobe defining an intralobar sequestration; C (arrow) – both the aberrant artery branch (#) and the inferior pulmonary vein (*) parallel to each other; D (arrow) – a heterogeneous density of the pulmonary parenchyma surrounded by ground glass opacity corresponding to the affected left lower lobe of the lung.
The patient underwent a left inferior video-assisted thoracoscopic lobectomy. She remains asymptomatic after surgery.
Pulmonary sequestration, 0.15–6.4% of all congenital pulmonary malformations,1 is defined by an abnormal connection to the traqueobronchial tree and an aberrant vascular supply, classified as extralobar or intralobar on the basis of their pleural cover.2
Our case represents the most common presentation of pulmonary sequestration: intralobar, on the LLL with arterial supply from the descending thoracic aorta and venous drainage into the pulmonary veins.2
We would like to express our sincere gratitude to Dr. António Carvalheira Santos, the head of our department, for his wise contribution and support.







